Učestalost kongenitalnih anomalija uterusa, koje nastaju uslijed nepravilnog spajanja Müllerovih cijevi i resorpcije u međuvremenu nastalog septuma je u općoj populaciji 5-10%, premda su podatci u literaturi različiti ovisno o karakteristikama skupina žena koje su ispitivane (normalna plodnost, nepodnost, spontani pobačaji).
Potpuno septirana maternica je udružena s najvišom stopom reprodukcijskih neuspjeha i opstetričkih komplikacija, uključujući ponavljane spontane pobačaje u prvom i drugom tromjesečju, prerane porode, abnormalni stav fetusa, intrauterini zastoj rasta i neplodnost. Smatra se da je 15–25% spontanih pobačaja uzrokovano kongenitalnim anomalijama uterusa, a većina je udružena sa septumom uterusa. Uzrok tog tipa spontanih pobačaja zbog septiranog uterusa koji nastaju između 8. i 16. tjedna trudnoće je najvjerojatnije neadekvatna implantacija u području septuma koji je oskudno opskrbljen krvlju.
Prerani porod može biti uzrokovan povećanim intrauterinim tlakom s relativnom insuficijencijom vrata maternice, manjkom estrogenskih i progesteronskih receptora u malformiranoj maternici, što može dovesti do abnormalnih kontrakcija uterusa i fetalnog gubitka.
Abnormalnom fuzijom Müllerovih cijevi nastaje bikornualni uterus / dvoroga maternica, a septirani uterus / pregrađena maternica ili maternica s pregradom, nastaje poremetnjom resorpcije u međuvremenu nastalog septuma.

U dijagnostici kongenitalnih anomalija uterusa ultrazvuk ima najvažniju ulogu, koja je opažena već primjenom transabdominalnog ultrazvuka. Transvaginalnim ultrazvukom je osjetljivost u dijagnostici septiranog uterusa 100%, a specifičnost 80%.
Transvaginalnim ultrazvukom može se precizno odrediti fundalna indentacija (uleknuće) i na taj način točno razvrstati kada se radi o septumu koji treba operirati (aplaniran fundus) od dvoroge maternice / uterus bikornis, koju ne treba operirati (konveksan fundus). Diferencijalnu dijagnostiku osobito pospješuje primjena kontrastnog ultrazvuka, kada se u materište instilira fiziološka otopina ili kontrast. Konstrasni ultrazuk ne samo da je koristan u evaluaciji kongenitalnih anomalija uterusa, već omogućuje i ispitivanje prohodnosti jajovoda. Za trodimenzionalni ultrazvuk se kaže da nalazi uterusa koreliraju s vanjskom konfiguracijom uterusa nađenom pri laparoskopiji, da mu je osjetljivost i specifičnost 100% za dijagnozu velikih anomalija Müllerovih cijevi, i 100% preciznost za bikornualni uterus.
U liječenju neplodnosti najbolju prognozu imaju anomalije spajanja, gdje je normalnu trudnoću vrlo često moguće ostvariti uz minimalne ili nikakove kirurške intervencije. U slučaju anomalija razvitka spolnih žljezda ili vanjskih genitalija liječenje se svodi na prije svega kiruršku korekciju i hormonsko nadomjesno liječenje.
Dr. Vesna Harni
..
3D ultrazvuk / frontalna ravnina
3D ultrazvučna rekonstrukcija maternične šupljine pokazuje ravan fundus i manji oštri septum u gornjoj trećini kavuma.
..
3D kontrastna sonohisterografija / 3D SIS
Kontrastna sonohisterografija pokazuje zaravnjen fundus i široki ovalni septum u gornjoj trećini maternične šupljine.
..
3D multiplanarni prikaz maternične šupljine
Ultrazvučna slika predstavlja 3D multiplanarni prikaz maternične šupljine i rekonstrukcija njenog izgleda, pri čemu se uočava duboki septum maternice koji seže u donji uterini segment, gotovo do samog cerviksa uz aplaniran / zaravnjen fundus maternice. Nužna je operativna histeroskopija i resekcija septuma prije planiranja trudnoće, pošto su češći spontani pobačaji i prijevremeni porod.
..
3D rekonstrukcija materične šupljine
Ultrazvučna slika predstavlja 3D rekonstrukciju maternične šupljine, pri čemu se uočava centralno postavljena duboka pregrada maternične šupljine, koja se pruža do donjeg uterinog segmenta gdje se završava prije nego je dosegnula vrat maternice. Obje maternične šupljine međusobno komuniciraju preko manjeg nepregrađenog dijela neposredno iznad vrata maternice. Fundus je zaravnjen, po čemu se slika pregrađene maternice razlikuje od dvoroge maternice. Prije planiranja trudnoće, nužna je resekcija septuma.
..
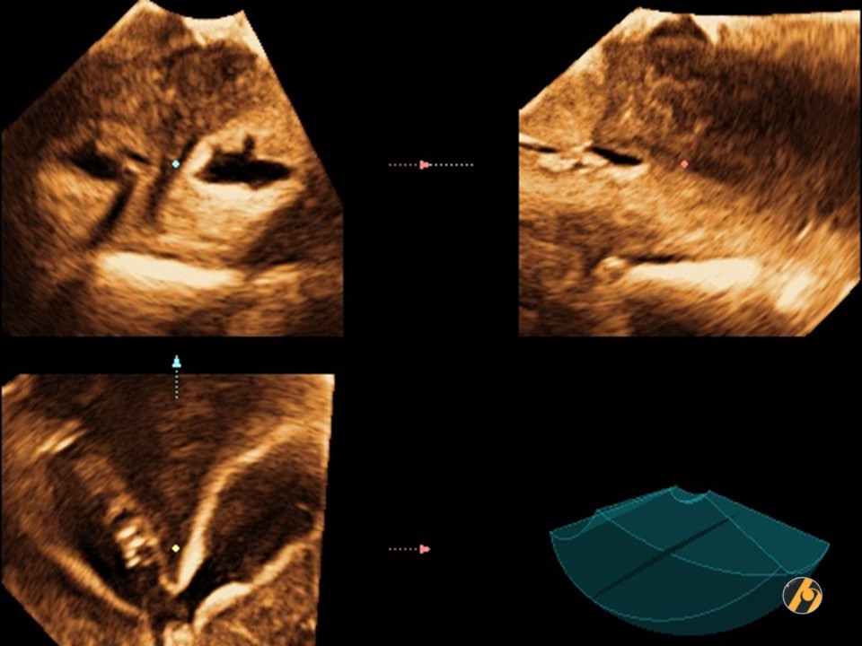
3D ultrazvuk / Multiplanarni prikaz
3D prikaz maternice u 3 ravnine, kao i rekonstrukcija slike maternične šupljine. Maternična šupljina / kavum maternice, ali i vrat maternice / cerviks podijeljeni su oštrim septumom u dva potpuno odvojena dijela, pri čemu je fundus zaravnjen. Zaravnjen fundus je ultrazvučna potvrda septirane / pregrađene maternice. U ovom slučaju je nužna operativna histeroskopija i resekcija septuma prije planiranja trudnoće, pošto su otežani zanošenje i iznošenje trudnoće. Češći su spontani pobačaji i prijevremeni porod.
..
Kontrastna sonohisterografija / 3D multiplanarni prikaz
Kontrastna sonohisterografija / ubrizgavanje sterilne fiziološke otopine u materničnu šupljinu prilikom ultrazvučnog pregleda, prikazuje dvorogu maternicu. Za razliku od septirane maternice, ovdje je fundus uleknut između dva tijela maternice, što ukazuje na dvorogu maternicu. U tom slučaju, Müllerove cijevi se tijekom embriogeneze nisu spojile niti u jednom dijelu materničnog tijela, a u donjem uterinom segmentu međusobno komuniciraju. Postoji samo jedan vrat maternice. U slučaju 2 cerviksa, anomalija se naziva uterus didelfis. U ovom slučaju je bilo kakva operativna intervencija pogrešna jer se dvije maternice ne mogu spojiti na kvalitetan način koji bi omogućio plodnost. Zanošenje ne predstavlja problem, jer je prokrvljenost svih dijelova materničnih stijenka uredna. Poblemi se javljaju u vidu krvarenja iz drugog roga maternice tijekom rane trudnoće, koja na sreću najčešće ne dovode do spontanog pobačaja. Prijevremeni porod je češći nego u općoj populaciji.









