Ektopična trudnoća označuje razvitak trudnoće na bilo kojem drugom mjestu izvan materične šupljine, dok naziv izvanmaternična trudnoća ima nešto uže značenje jer izuzima ektopične trudnoće koje nastaju unutar vrata maternice ili u stijenci materničnog roga. Ove trudnoće unutar maternice, ali izvan maternične šupljine također mogu rezultirati rupturom maternice i abdominalnim krvarenjem/šokom kao i svaka druga ektopična trudnoća.
Daleko najčešća lokacija ektopične trudnoće je jajovod: u 95–98% ovih trudnoća zametak se nalazi u jajovodu. Iznimne lokacije su jajnik (ovarijska trudnoća), bilo koji dio trbušne šupljine (abdominalna trudnoća). Računa se da se na 100 porođaja javlja otprilike jedna ektopična trudnoća. Svaka ektopična trudnoća predstavlja opasnost po život žene. Najveću opasnost predstavljaju iznenadno obilno krvarenju u trbušnu šupljinu i šok uslijed iskrvarenja.
Dva su temeljna razloga zašto nastaje ektopična trudnoća. Prvi razlog je postojanje nepravilnosti i prepreka na putu kojim prolazi oplođena jajna stanica. Glavni razlog nastanku ovih prepreka je upala jajovoda / salpingitis, adneksitis, PID, koja ostavlja iza sebe ne samo priraslice jajovoda s drugim organima već i priraslice unutar samog lumena jajovoda. Najčešći uzročnici ovakvih promjena jajovoda su infekcije klamidijom i gonokokom, ali i endometrioza ili operativni zahvati na jajovodima / salpingoliza, salpingostomia. U ovu skupinu treba ubrojiti i anatomske deformacije jajovoda / hipoplazija, divertikuli, duge tube.
Drugi razlog nastanka izvanmaternične trudnoće je nepravilna peristaltika / nepravilni fini pokreti jajovoda zbog nepravilne funkcije jajnika ili nedovoljno razvijenih / hipoplastičnih jajovoda. Ostali uzroci nepravilne peristaltike su oštećenja mišićnog sloja jajovoda kod postojanja priraslica i tumora u maloj zdjelici zbog čega su oblik i funkcija jajovoda izmijenjena.

Klinička slika ektopične trudnoće ovisi o mjestu implantacije oplođenog jajašca. Ukoliko se jajašce zadržava u proširenom /ampularnom dijelu jajovoda okrenutom prema jajniku nastaje tubarni abortus. To znači da glatka muskulatura jajovoda reagira na proces implantacije kontrakcijama koje izazivaju ljuštenje i izbacivanje gestacijske vrećice zajedno sa zametkom u trbušnu šupljinu.
U drugom slučaju ako se oplođeno jajašce implantira u uskom / istmičnom dijelu jajovoda uz samu maternicu, rastom jajašca nastaje pucanje ili ruptura jajovoda s obilnim krvarenjem u trbušnu šupljinu. Na isti način završavaju se i intersticijska ili kornualna trudnoća kada se oplođeno jajašce implantira u predjelu materničnog ušća jajovoda, kao i cervikalna trudnoća kada se zametak implantira u vratu maternice.
Tubarni abortus češći je 6–10 puta od tubarne rupture. Ima spori tijek, a klinička slika se razvija postupno. U prvom stadiju ne postoje simptomi, u drugom stadiju simptomi su vrlo rijetki i tek u trećem stadiju nastupaju tegobe. Prvi simptomi obuhvaćaju uglavnom jednostrane bolove u donjem dijelu trbuha koji su praćeni nepravilnim tamnim krvarenjem nakon izostanka menstruacije. Kod neprepoznate ektopiočne trudnoće ili kasnog javljanja liječniku, uslijed krvarenja u trbuh nastupa peritonealni podražaj i kolaps, što bez pravovremenog kirurškog zahvata završava smrću.
Klinička slika tubarne rupture daleko je dramatičnija uslijed naglog pucanja jajovoda. Bolovi u trbuhu su snažni, grčevitog karaktera, obično samo s jedne strane i javljaju se već 6–8 tjedana nakon izostanka menstruacije.
Dijagnostika ektopične trudnoće
Dijagnoza ektopične trudnoće postavlja se na osnovu podataka iz anamneze, vaginalnog i ultrazvučnog pregleda, uz pomoć testa na trudnoću odnosno određivanja razine ß-hCG u serumu. Kod 90–95% pacijentica s izvanmaterničnom trudnoćom postoji kašnjenje ili izostanak menstruacije. Bol u trbuhu javlja se kod 70% pacijentica, a nepravilno (obično tamno smeđe i oskudno) krvarenje prisutno je u 52% pacijentica.
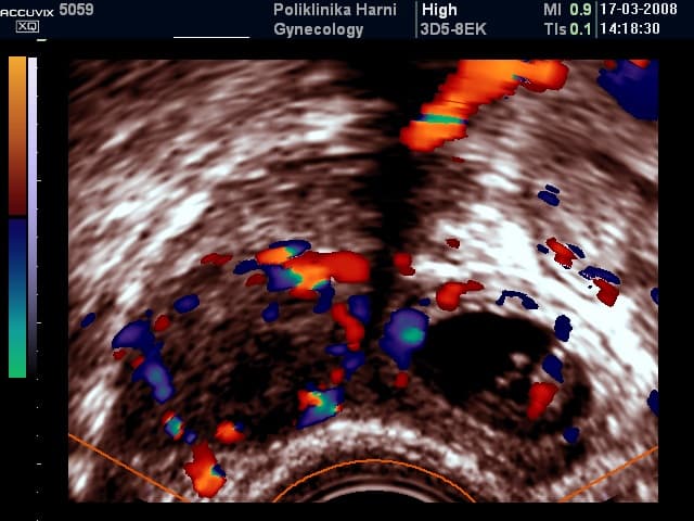
Kod vaginalnog pregleda u početnim stadijima ne mora se nalaziti nikakvih abnormalnosti, dok se kod uznapredovalih stadija ili krvarenja u trbuh palpira se adneksalna masa uz izrazitu bolnost pri pomicanju vrata maternice. Sigurni ultrazvučni znak ektopične trudnoće je nalaz vitalnog embrija izvan maternice. Vjerojatni znaci / trijas ultrazvučnih biljega za ektopiočnu trudnoću su nedostatak ultrazvučnih znakova trudnoće u maternici, adneksalni tumor i prisutnost tekućine u trbuhu. Sumnjivi ultrazvučni nalaz je već i nedostatak nalaza embrija u maternici kod izostanka menstruacije.
U svim ovim slučajevima radi se ili brzi test na trudnoću iz urina ili se određuje razina ß-hCG u serumu (daleko pouzdanija pretraga).

U manjem broju slučajeva ektopičnu trudnoće je moguće liječiti konzervativnim putem. U konzervativne postupke liječenje se ubrajaju:
- samoizlječenje (vrlo rijetko) kada se radi o kompletnom spontanom pobačaju ili resorpciji trudnoće u jajovodu ili
- tehnike koje podrazumijevaju lokalnu infiltraciju metotreksata, prostaglandina ili obične glukoze bilo pod kontrolom ultrazvuka, bilo laparoskopskim putem.
Liječenje ektopične trudnoće zasniva se na operativnim tehnikama koje se najčešće izvode laparoskopski. Radikalni zahvat podrazumijeva odstranjenje jajovoda zajedno s trudnoćom / salpingektomija ili u slučaju dodatne patologije na pripadajućem jajniku odstranjenje i jajovoda i jajnika / adneksektomija. Mikrokirurški zahvati obuhvaćaju salpingotomiju i salpingostomiju, postupke segmentne resekcije i anastomoze i resekciju tubarnog kuta s reimplantacijom.
Oko 17% žena svoju prvu trudnoću zanese izvan maternice, oko 40% ovih žena kasnije neće moći ostvariti urednu spontanu trudnoću. Nakon radikalnih kirurških zahvata 50% žena neće više zanositi, a rizik ponovne ektopične trudnoće iznosi 10–15%. Nakon mikrokiruškog zahvata kod ektopične trudnoće 1/3 žena nikada više neće zanijeti, 1/3 žena ponovno će zanijeti izvan maternice, a 1/3 žena prirodno će ostvariti urednu trudnoću.
dr. Vesna Harni









