Od 1997. godine tehnika mjerenja nuhalnog nabora u 12. tjednu trudnoće primjenjuje se kod svih trudnica u Velikoj Britaniji, a od 1998. godine pretraga je obavezna u Austriji i Sloveniji. Od 1. siječnja 2007. godine kombinirani probir kromosomopatija je obavezan u svim zemljama Europske unije. Zaključak posljednjeg Hrvatskog perinatalnog kongresa je da se ova tehnika ranog otkrivanja kromosomopatija treba obvezno primjenjivati i u Hrvatskoj.
Ultrazvučni pregled u razdoblju između 11. - 14. tjedna trudnoće, poglavito u trudnica koje su prema rezultatima kombiniranog probira svrstane u tzv. skupinu umjerenog rizika za Downov sindrom uključuje i tzv. "dodatne" ultrazvučne biljege:
- mjerenje nosne kosti,
- mjerenje fronto-maksilarnog ličnog kuta,
- mjerenje protoka tijekom atrijske kontrakcije u duktusu venozusu (obojeni Doppler) i
- registracija protoka kroz trikuspidalnu valvulu.
U ovo vrijeme nosna kost se ne može prikazati kod 60 - 70% fetusa s trisomijom 21, kao i kod 2% kromosomski normalnih fetusa. Slična je i s maksilarnom jezgrom, čija se hipoplazija / short maxilla nalazi kod 25% fetusa s trisomijom 21.
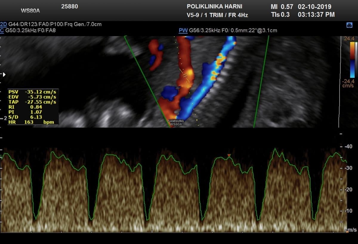
Pri pregledu obojenim Dopplerom između 11. - 14. tjedna trudnoće se u oko 80% fetusa trisomijom 21 otkriva nulti / zero flow" ili obrnuti protok / reverse flow tijekom atrijske kontrakcije u duktusu venosusu. Duktus venozus krvna je žila koja povezuje pupčanu venu i desnu pretklijetku fetalnog srca, a u slučaju trisomije, najvjerojatnije zbog pratećih srčanih grešaka, tijekom kontrakcije pretklijetke protok kroz ovu krvnu žilu se ne bilježi ili je negativan. Otuda je pregled protoka kroz duktus venozus tehnikom obojenog Dopplera, uz opisane soft markere sastavni dio svakog ozbiljnijeg traganja za ultrazvučnim biljezima kromosomopatija.
Anomaly scan
U otkrivanju fetalnih strukturnih malformacija pažljivo se ispituje i prati morfologija, izgled fetusa i pojedinih fetalnih organa, pri čemu je najidealnije vrijeme za morfološko ispitivanje fetusa oko 22. tjedna trudnoće (20. - 24. tjedan). U ovo vrijeme vidljivi su svi vitalni organi, a njihova veličina dopušta preciznu procjenu izgleda i otkrivanje eventualnih odstupanja. Ovaj ultrazvučni pregled zbog traganja za fetalnim anomalijama naziva se anomaly scan. Većina organa je u ovo vrijeme tako razvijena, da se ultrazvučnim putem može dobro procijeniti njihova morfologija - građa i struktura.
Osobiti značaj pridaje se pregledu razvijenosti središnjeg živčanog sustava, zatvorenosti kralješnice i fetalnoj ehokardiografiji - pregledu fetalnog srca. Novije tehnologije pruža svojim mogućnostima detaljne prikaze ovih organa, osobito 5D ultrazvuk koji automatski generira seriju najvažnijih presjeke organa koji se promatra u sve tri dimenzije.

Kolor Dopler feto-maternalnih krvnih žila
Neki znanstvenici preporučuju rutinski pregled obojenim Dopplerom između 30. - 34. tjedna trudnoće kod svih trudnica. Zbog specifičnosti u razvitku feto-maternalnih krvnih žila obojeni Doppler se preporučuje načiniti tek nakon 20. tjedna trudnoće. Izuzetak je jedino sumnja na anomalije fetalnog srca ili krvnih žila. Mjerenje indeksa protoka kroz fetalne krvne žile i pupčanu arteriju može pretkazati fetalnu patnju i do mjesec dana ranije, uslijed nepravilnost razvoja i/ili funkcije fetoplacentarne jedinice.
Ranije je opisano da se tehnika obojenog Doplera primjenjuje i ranije, u okviru otkrivanja odsutnosti ili reverznog protoka krvi kroz duktus venozus ili na srčanoj valvuli između desne pretklijetke i klijetke / trikuspidalna regurgitacija. U 70-90% fetusa s kromosomskim abnormalnostima se pri ovom pregledu između 11.-14. tjedna trudnoće u tim krvnim žilama nalazi inverzan protok, pa je mjerenje protoka kroz duktus venozus tehnikom obojenog Doplera sastavni dio svakog ozbiljenijeg traganja za ultrazvučnim biljezima kromosomopatija.
dr. Vesna Harni









