Temeljno pitanje koje se postavlja pred liječnika koji kontrolira trudnoću, kao i samu trudnicu jeste u kojoj mjeri je aktualna trudnoća opterećena rizikom Downovog sindroma / trisomija 21 - trostruki kromosom broj 21, mongolizam i drugih kromosomopatija, poremećaja broja i strukture kromosoma fetusa, a osim Downovog sindroma ovdje spadaju i trisomija 18 / Edwardsov sindrom, trisomija 13 / Patau sindrom, triploidija, Turnerov i Klinefelterov sindrom. Procjenom rizika kromosomopatija temeljem starosti trudnice i amniocentezom kod trudnica starijih od 37 godina dijagnosticira se svega oko 30% svih mogućih trisomija. Gorka je činjenica da najveći broj kromosomski oštećene djece rađaju mlađe majke.Dva su razloga za ovu pojavu - mlađe žene rađaju veći broj djece i kod mlađih žena se testovi probira za kromosomske abnormalnosti češće izostavljaju.
Kombinirani probir
Kombinirani probir podrazumijeva određivanje rizika jedne trudnice za kromosomopatije temeljem kombinirane procjene ultrazvučnih i biokemijskih biljega. Ovim probirom se određuje statistička vjerojatnost kromosomskih abnormalnosti temeljem starosti trudnice, biokemijskih parametara u krvi i ultrazvučnog nalaza određenih, točno definiranih pokazatelja.
Što su to ultrazvučni biljezi za kromosomopatije?
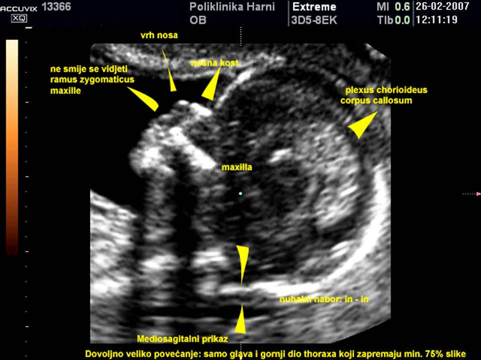
Radi se o specifičnim ultrazvučnim pokazateljima koji ne spadaju u anomalije već prije prolazne pojave u trudnoći. Obuhvaćaju ne samo debljinu nuhalnog nabora, već i prisutnost nosne kosti, lični kut, nalaz dvije umbilikalne arterije, procjenu protoka kroz duktus venozus tijekom atrijske kontrakcije i nalaz trikuspidalne regurgitacije. Procjenjuju se prema strogim kriterijima koje je propisao FMF – Fetal Medicine Foundation, London, između 11. i 13+6 tjedna trudnoće kada je duljina tjeme-trtica između 45 - 84 mm. Ovaj ultrazvučni pregled je poznat i pod nazivom mini-anomaly scan.
Biokemijskim probirom određuje se razina serumskih biljega PAPP-A i free ß-hCG i potom izračunava osobni rizik svake trudnice temeljem nađenih rezultata. Učestalost lažno pozitivnih rezultata se procjenjuje na 5%.


U procjeni individualnog rizika koristi se statistički program FMF-a u koji se unose svi nabrojani podatci, na temelju kojih će se odrediti u koju skupinu rizika za kromosompatije spada ispitivana trudnica. Postoje tri skupine rizika: niski rizik, umjereni rizik i visoki rizik za kromosomsku abnormalnost kod djeteta. Podjela rizika znači sljedeće: iz skupine s visokim rizikom rodit će se 85% sve djece s trisomijom 21 (T21), iz skupine sa srednjim rizikom rodit će se 14% sve djece s T21 i iz skupine s niskim rizikom roditi će se 1% sve djece s T21.
Kada je procijenjeni rizik za kromosomopatiju manji od 1 promila (rizik 1:1,000 i manji), tada trudnica spada u skupinu s niskim rizikom za kromosomske abnormalnosti i u tom slučaju nije nužna daljnje prenatalna dijagnostika.
Ako je procijenjeni rizik između 1 postotka i 1 promila (rizik 1:100 - rizik 1:1000) trudnica se ubraja u skupinu s umjerenim rizikom za kromosomopatije, a ako je rizik veći od 1 postotka (rizik 1:100 i veći), tada se radi o visoko-rizičnoj skupini trudnica kada su u pitanju kromosomske abnormalnosti. Rizik od 1% (1:100) znači da se trudnica nalazi u skupini od 100 trudnica, pri čemu je kod 99 trudnica trudnoća normalna, a u jednoj od 100 trudnoća se nalazi fetus s Downovim sindromom.
Klinička iskustva i preporuke za invazivni postupak kod svih trudnica kod kojih je rizik bio veći od 1:300 rezultirali su i određenim negativnim posljedicama, naime u 1,5% slučajeva invazivnih zahvata – biopsije korionskih resica ili amniocenteze kojima se postavlja definitivna dijagnoza, dolazi do spontanog pobačaja. Praktički, ovo je značilo da bi se kod 600 trudnica s rizikom 1:300, kombiniranim probirom otkrila 2 fetusa s Downovim sindromom, ali bi zbog posljedica zahvata došlo do gubitka 9 zdravih fetusa (učestalost spontanih pobačaja: 1.5%).
Ako su ultrazvučni biljezi pozitivni u trudnica s umjerenim rizikom, te kod trudnica s visokim rizikom za kromosomopatiju preporučuje se kariotipizacija ili analiza fetalnih kromosoma. Trudnicama su danas na raspolaganju dvije skupine testova kojima se određuju kromosomske abnormalnosti u fetusa – neinvazivni testovi / NIPT sekvenciranje fetalnih eritrocita iz majčine krvi i invazivni testovi tipa biopsije korionskih resica / CVS ili punkcije plodne vode / amniocenteza, kada se iz dobivenih fetalnih stanica određuju broj i izgled kromosoma bebe.
Ukoliko trudnica ne stigne obaviti kombinirani probir u 1. trimestru ili rezultati ovog probira nisu jednoznačni, postoji mogućnost obavljanja NIPT tijekom cijelog razdoblja trudnoće. Među mnogobrojnim NIPT testovima odabrali smo i trudnicama sumjerenim i visokim rizikom preporučujemo američki "PANORAMA" test sa sekvencioniranjem nukleotida slobodne fetalne DNK.
Preduvjet za mjerenje nuhalnog nabora i primjenu ostalih ultrazvučnih biljega u razvrstavanju trudnica po skupinama rizika temeljem računalnog programa je stjecanje licencije i redovita godišnja certifikacija u okviru Fetal Medicine Foundation London. Poliklinika Harni je prva zdravstvena ustanova u Hrvatskoj, certificirana od strane Fetal Medicine Foundation London za provođenje kombiniranog probira za kromosomske abnormalnosti.
dr. Vesna Harni









