Kliničko značenje i suvremena klasifikacija
Najveće novosti u poslednjoj kolposkopskoj klasifikaciji odnose se na skupinu abnormalnih nalaza. Ona uključuje klasične kolposkopske slike acetobijelog epitela, mozaika i punktacija, ali i nalaze koji su vraćeni u ovu kategoriju zbog njihovog kliničkog značaja — leukoplakiju, pravu eroziju i jod-negativni epitel.
Procena kolposkopske lezije ne temelji se samo na vizualnom prepoznavanju slike, već i na analiziranju opisnih markera težine promjene, uključujući:
- brzinu i intenzitet acetobijeljenja nakon primene 3–5% octene kiseline,
- oštrinu i ograničenost rubova lezije,
- pravilnost ili grubost mozaika i punktacija,
- izdizanje površine lezije u odnosu na okolni epitel.
Posebnu važnost ima i procena patognomoničnih kolposkopskih znakova, koji mogu sugerirati viši stupanj sumnje, uključujući:
- izrazito vidljive otvore cervikalnih kripti,
- unutrašnje razgraničenje lezije (inner border sign),
- izdignute rubove poput grebena (ridge sign),
- znak neravne, „ledirane“ cervikalne površine (rag sign), koji spada u nespecifične nalaze erozije, ali zahteva jednaku pažnju u interpretaciji.
Glavne vrste abnormalnih kolposkopskih promjena
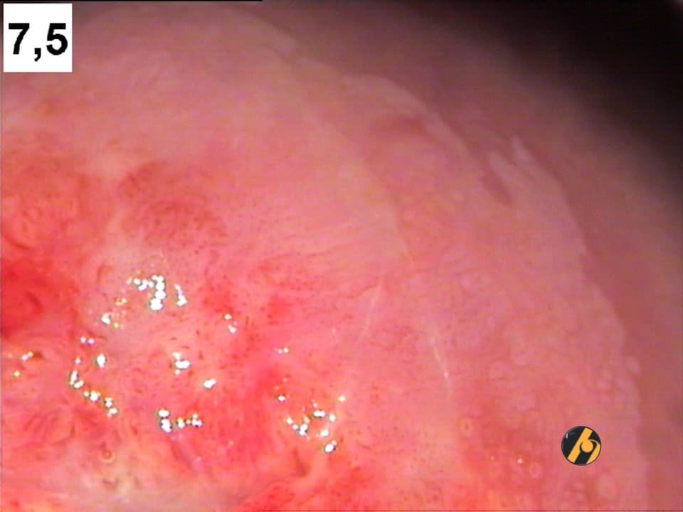
Acetobijeli epitel
Predstavlja zadebljan i minimalno izdignut epitel u transformacijskoj zoni (TZ) s vrlo pozitivnom octenom reakcijom. Nakon premazivanja cerviksa 3–5% octenom kiselinom, ovo područje postaje bijelo zbog velike gustoće jezgara i proteina u površnom sloju, dok Schillerova proba ostaje negativna jer lezija ne sadržava glikogen.
Ovaj nalaz može se vidjeti i u slučaju nezrele metaplazije, ali što je acetobijeljenje intenzivnije i dugotrajnije, to je veća vjerojatnost da je u pitanju intraepitelna lezija višeg stupnja.
Mozaik
Označuje žarišta svjetlih poligonalnih polja odvojenih tankom crvenom vaskularnom mrežom (kapilare saćastog izgleda). Nastaje kada atipične stanice ulaze u dublje slojeve i epitelnim produžecima potiskuju stromu vezivnog tkiva.
Punktacije
Sitne crvene točkice na površini pločastog epitela koje predstavljaju projekciju prokrvljenih papila veziva gotovo do same površine. Klasično se pojavljuju nakon ljuštenja orožnjelih slojeva leukoplakije. Sam izgled može biti varijabilan i nije dovoljan za sigurnu kategorizaciju bez drugih markera.
Nespecifični kolposkopski nalazi koji spadaju u abnormalne
Leukoplakija
Bijela mrlja na cerviksu, vagini ili vulvi, uzrokovana hiper- i parakeratozom epitela koji normalno ne orožnjava. Kod ovog nalaza nema smeđeg bojenja na Schillerovoj probi jer parakeratotične stanice zamjenjuju glikogen-bogate slojeve. Izgled je nespecifičan, jer može odgovarati benignim promjenama, ali i HSIL-u (CIN2/3), pa zahteva oprez.
Prava erozija
Područje ogoljelog epitela koje može biti posljedica upale ili ozljede, ali i znak povećane ranjivosti pokrovnog epitela, pa potencijalno i marker abnormalnosti.
Jod-negativni epitel
Žarišta epitela koja nakon Lugolove otopine ostaju žuta ili svetla. Ovaj nalaz može predstavljati atrofiju, nezrelu metaplaziju ili intraepitelnu leziju i procenjuje se prema kontrastu intenziteta reakcije i drugim pratećim kolposkopskim pokazateljima.
G1 i G2 kolposkopske lezije (minor vs. major promjene)
Kolposkopskim pregledom se prema dinamici reakcije i kvaliteti lezije razlikuju:
- G1 (minor promjene): nježno i sporije acetobijeljenje, fin mozaik, fine punktacije, geografski i nejasni rubovi, bez jačeg izdizanja površine.
- G2 (major promjene): vrlo brzo i intenzivno acetobijeljenje, grube punktacije, grubi mozaik, jasne granice, izdignuti rubovi nalik grebenu (ridge sign), unutrašnje razgraničenje (inner border sign) i prominentni otvori kripti.
G2 lezije nose veći rizik za intraepitelnu leziju visokog stupnja (HSIL) i prekancerozu i obično su indikacija za biopsijsku potvrdu.
Kada biopsija nije potrebna, a kada je neophodna?
Biopsija nije obavezna samo ako:
- kolposkopski nalaz odgovara G1 (minor promjenama) i
- PAPA test ne pokazuje sumnju na intraepitelnu leziju višeg stupnja.
Biopsija je neophodna kada:
- je prisutna G2 lezija,
- postoji neusklađenost kolposkopije i PAPA testa,
- postoji sumnja na endocervikalnu komponentu lezije,
- kolposkopija nije pouzdano isključila HSIL ili prekancerozu.
Biopsija vrata maternice – kako i zašto?
Kolposkopija, kao i svaka dijagnostička metoda, ima svoja ograničenja. Da bi se potvrdila priroda lezije i procijenila histološka arhitektura, uzima se ciljani uzorak iz najteže promjene u transformacijskoj zoni ili sa sumnjivih mjesta vagine i šalje na patohistološku analizu.
Vrste biopsije:
- incizijska biopsija — uzima se reprezentativan uzorak uz očuvanje arhitekture tkiva,
- ekscizijska biopsija — uklanja se cela lezija i istovremeno je dijagnostički i terapijski postupak.
Tehnike uzimanja:
- biopsija klještima (punch biopsija),
- biopsija električnom omčicom (LETZ/LEEP/LEEP biopsija),
- konus biopsija (konizacija skalpelom ili omčicom).
Nakon biopsije preporučuje se i endocervikalna kiretaža/ekskoheleacija, čiji se materijal također šalje na patohistološku procenu kako bi se pouzdano isključio tumorski proces u kanalu vrata maternice.
Autorica
Dr. med. Vesna Harni
Specijalistica ginekologije i porodništva
Voditeljica Poliklinike Harni, Zagreb
-
Leukoplakija
označuje prisutnost bijele mrlje na površini vrata maternice, vagine ili vulve. Radi se o površnom orožnjavanju epitela koji normalno ne orožnjava, a nakupina orožnjelih slojeva je pri kolposkopiji vidljiva kao bijela mrlja. Kod leukoplakije izostaje bojanje epitela u tamnosmeđu boju pri Schillerovoj probi. Razlog tomu je nedostatak staničnih slojeva koji sadrže glikogen i njihova zamjena parakeratotičnim stanicama. -
Erozija
Prava erozija je područje ogoljelog epitela. Može nastati uslijed ozljeda, može ukazivati na ranjivost pokrovnog epitela, a time i na moguću abnormalnost. -
Jod-negativni epitel
Nakon premazivanja vrata maternice Lugolovom otopinom zreli pločasti epitel koji sadržava glikogen boje se intenuivnom smeđom bojom. Jod negativna područja mogu predstavljati nezrelu metaplaziju, atrofičan epitel ili abnormalan epitel, ovisno o intenzitetu bojanja.
Nespecifični kolposkopski nalazi su dobili ovaj nalaz jer u ovim slučajevima nije moguće reći radi li se o manje značajnim promjenama tkiva kao što je kronični cervicitis ili je u pitanju intraepitelna lezija visokog stupnja. U jednom slučaju se biopsijom dobije SIL visokog stupnja ("CIN2/3"), u drugom slučaju kronični cervicitis. Otuda se kaže da je izgled ovih lezija "nespecifičan", ali niti u kojem slučaju ovo nisu uvijek dobroćudne promjene i zahtijevaju visoki oprez u interpretaciji.
Prema brzini i intenzitetu nastupanja reakcije nakon premazivanja cerviksa octenom kiselinom ili jodnom otopinom, kolposkopski je moguće razlikovati dva tipa abnormalnih lezija:
- lezije slabog karaktera - minor changes ili G1 kolposkopske lezije i
- lezije grubog karaktera - major changes ili G2 kolposkopske lezije.
Nježno acetobijeljenje, nježni mozaik i puntkacije, kao i geografski rub kolposkopskih lezija odlika su G1 ili kolposkopskih lezija slabog karaktera (minor changes). Brzo nastupanje acetobijeljenja i grubi acetobijeli epitel spadaju u G2 kolposkopske lezije (maior changes). Ovdje spadaju i grube punktacije, grubi mozaik, prominentni otvori žljezda, izdizanje rubova lezija poput grebena – "ridge sign" i jasne granice između različitih lezija – "inner border sign".
Ukoliko se rezultat kolposkopije slaže s citološkom procjenom i radi se o slabim promjenama, pri čemu se nalaz može pratiti, jedino tada nije nužna biopsija vrata maternice i histološka potvrda dijagnoze.
U svim drugim slučajevima, ako se rezultat kolposkopije ne slaže s PAPA testom, ako su prisutne grube kolposkopske promjene, ako postoji endocervikalna komponenta lezije - kolposkopija ili nije odgovorila na pitanje je li PAPA test točno prepoznao sumnjive promjene na vratu maternice ili je postavljena sumnja na intraepitelnu leziju visokog stupnja, koja može biti prekanceroza. U ovim slučajevima je potrebno učiniti biopsiju i histološku potvrdu dijagnoze kako bi se ispravno procijenila događanja u transformacijskoj zoni.
Biopsija vrata maternice
Svaka dijagnostička metoda, pa tako i kolposkopija ima svoje ograničenje. Kako bi se kolposkopska dijagnoza potvrdila (otkrile intraepitelne lezije visokog stupnja i liječile), potrebno je uzeti uzorak iz područja najteže promjene i poslati ga na patohistološku analizu. Ovaj se postupak uzimanja uzorka tkiva iz područja vrata maternice naziva biopsija, a analizom toga uzorka nakon složene obrade, patolog proučava tkivo pod mikroskopom i utvrđuje točnu patohistološku dijagnozu, prisutnost ili proširenost bolesti. Ukoliko se biopsijom odstrani cijela promjena, postupak se naziva ekscizijska biopsija i ona je istovremeno dijagnostički i terapijski postupak. Ako se uzme samo uzorak tkiva uz potpunu očuvanost histološke arhitekture stanica tkiva, tada je to incizijska biopsija. Najveća je važnost biopsije u razlikovanju benignih i premalignih od malignih promjena. Biopsija se uzima i sa sumnjivih mjesta iz vagine pod kontrolom kolposkopa. Uzimanje uzorka tkiva s vrata maternice može se učiniti kao biopsija klještima (punch-biopsija), biopsija električnom omčicom (LETZ biopsija) ili kirurškim nožem, obično konusna biopsija (konizacija). Nakon uzimanja uzorka tkiva, potrebno je postrugati kanal vrata maternice, i ovaj materijal također poslati na patohistološku analizu. Ovaj postupak se naziva endocervikalna kiretaža ili ekskohleacija, a analiza tkiva osigurava dokaz da u kanalu vrata maternice nema tumorskog procesa.
dr. Vesna Harni









