Sindrom policističnih jajnika - PCOS je najčešća endokrinopatija u žena reproduktivne dobi. Njegova visoka prevalencija je privukla veliku pozornost javnosti (više od 1.5 milijuna web stranica posvećenih ovom problemu), uz procjenom da ovo stanje stvara američkom zdravstvenom sustavu troškove u vrijednosti od oko 4 milijarde dolara godišnje. PCOS je složeno endokrino stanje zahvaljujući njegovoj heterogenosti i nesigurnoj etiologiji. Raznolika priroda PCOS-a bila je vigljiva čak i iz prvog opisa sindroma Stein-Leventhal, koji su u svom izvornom izvješću opisali sedam žena s varijabilnim kliničkim svojstvima (pretilost, hirzutizam, akne i amenoreja), povezanim s obostrano policističnim jajnicima.
Nakon međunarodnog sastanka održanog 1990. godine u američkom Nacionalnom institutu za zdravlje (NIH), preporučeno je da dijagnostički kriteriji za PCOS sadržavaju istodobnu prisutnost anovulacije i dokaza o hiperandrogenemiji – biokemijski dokazi, klinički nalaz (hirsutizam / akne) ili oboje - ali bez referencije na morfologiju jajnika. Kako bi se osigurala uključiva definicija sindrom, na zajedničkom ESHRE/ASRM sastanku održanom 2003. godine, predloženo je da se dijagnoza PCOS temelji na prisutnosti najmanje dva od tri kriterija (kronična anovulacija, hiperandrogenizam, ultrazvučni nalaz policističnih jajnika). Činjenica da PCOS često obilježava prisutnost inzulinske rezistencije i hiperinzulinemije, a većina bolesnica u kliničkom istraživanju su imale prekomjernu tjelesnu težinu ili su bile pretile. Ovi čimbenici mogu igrati važnu ulogu u patogenezi suviška androgena i nastanku intolerancije glukoze i dijabetesa tipa 2 ranije od očekivanog.
Treću radionicu i konsenzus o PCOS-u, ESHRE /ASMR su održali 2011. godine u Amsterdamu, kada su identificirali različite fenotipe i razdvojili većinu slučajeca PCOS s klasičnim fenotipom kojeg obilježavaju hiperandrogenizam i kronična anovulacija (CA), od onih koje obilježavaju disfunkcija i policistična morfologija jajnika. Preporuka iz Amsterdama je također obuhvaćala testiranje glavnih emtaboličkih poremećaja metabolizma u obradi svih pacijentica tijekom definiranja PCOS fenotipa.
Budući da je PCOS vrlo čest poremećaj (prevalencija se kreće od 6 do 20% ovisno o dijagnostičkim kriterijima), bilo bi korisno imati jedinstvene stavove u vezi s dijagnostičkim kriterijima. Određeni napredak je postignut preporukama stručnjaka NIH Panela (SAD), iz 2012. godine koji je slijedio metodološku radionicu utemeljenu na dokazima o PCOS-u. Ovaj konsenzus je podržao Rotterdamsku definiciju kao najširu i prikladnu globalnom kontekstu, pri čemu se preporučuje individualizacija specifičnim potrebama pacijentice svakog od četiri fenotipa PCOS.
Korištenjem mogućih kombinacija ovih kriterija, identificirana su četiri različita fenotipa PCOS:
- H-CA: hiperandrogenizam (klinički ili biokemijski) i kronična anovulacija;
- H-PCO: hiperandrogenizam i policistični jajnici na ultrazvuku (PCO), ali s ovulacijskim ciklusima;
- CA-PCO: Kronična anovulacija i policistični jajnici bez hiperandrogenizma; i, konačno,
- H-CA-PCO: Hiperandrogenizam, CA i policistični jajnici.
Čini se da je identifikacija specifičnih fenotipova u žena s PCOS-om opravdana s metaboličkog aspekta. Za razliku od kronične anovulacije, metaboličke abnormalnosti mogu dominirati sindromom tijekom životnog vijeka ispitanice, iako nema podataka o adolescenciji. Nekoliko istraživačkih skupina sugeriralo je da podrijetlo PCOS leži u fetalnom životu i uključuje fetalno programiranje metaboličke / endokrine osi, posebno metabolizam ugljikohidrata i lučenje nadbubrežne žlijezde.
PCOS se javlja u oko 3% adolescentica i između 6-20% odraslih žena, ovisno o dijagnostičkim kriterijima. Može se pojaviti već s prvom mjesečnicom, a relativno često se dijagnosticira uDij mladih djevojaka upravo kod problema neredovitih ciklusa za vrijeme puberteta. Najčešći je uzrok hiperandrogenemije u pretpubertetskoj dobi. Povišena razina testosterona, djelovanjem na lojne žlijezde, izaziva seboreju i/ili akne. Djelovanjem na folikul dlake izaziva pojačanu dlakavost (hirzutizam) muškog tipa, dok u predjelu vlasišta izaziva stanjenje dlake i gubitak kose ili ćelavost muškog tipa.
Simptomi
- kronična anovulacija, s nepravilnim menstruacijskim krvarenjima i njihovim višemjesečnim ili potpunim izostankom
- pojačani rast dlačica maskulinog tipa, akne i pojačano ispadanje kose kao posljedica povišene razine muških spolnih hormona
- neplodnost
- pretilost
Najznačajnija klinička obliježja PCOS predstavljaju abnormalnosti menstrualnog ciklusa, znaci povećane razine muških spolnih hormona (osobito pojačana dlakavost) i pretilost. PCOS se danas smatra potencijalno opasnim sindrom, najviše zbog rizika za nastanak dijabetesa melitusa.
Hirzutizam je najbolji klinički biljeg hiperandrogenizma, iako se na temelju etničke pripadnosti mogu očekivati određene varijacije. Standardizirani testovi za skrining hirzutizma se obično ne koriste, ali ih treba razmotriti. Akne su daleko promjenjiviji biljeg hiperandrogenizma.
Najbolji testovi objektivnog mjerenja hiperandrogenizma su razina slobodnog testosterona ili indeks slobodnog testosterona. Međutim, povišena razina androgena u cirkulacija se ne otkriva u svih pacijentica s PCOS. Studija objavljena u časopisu Journal of Clinical Endocrinology and Metabolism, nalazi 2.76 puta češće inzulinsku rezistenciju u pacijentica s PCOS u odnosu na kontrolne ispitanice. Pored toga, veći broj žena s PCOS koje su ispunjavale kriterije za dijabetes na temelju OGTT, imale su uredne vrijednosti glukoze natašte. Otuda je veoma važna jasna i ispravna definicija i dijagnoza sindroma.

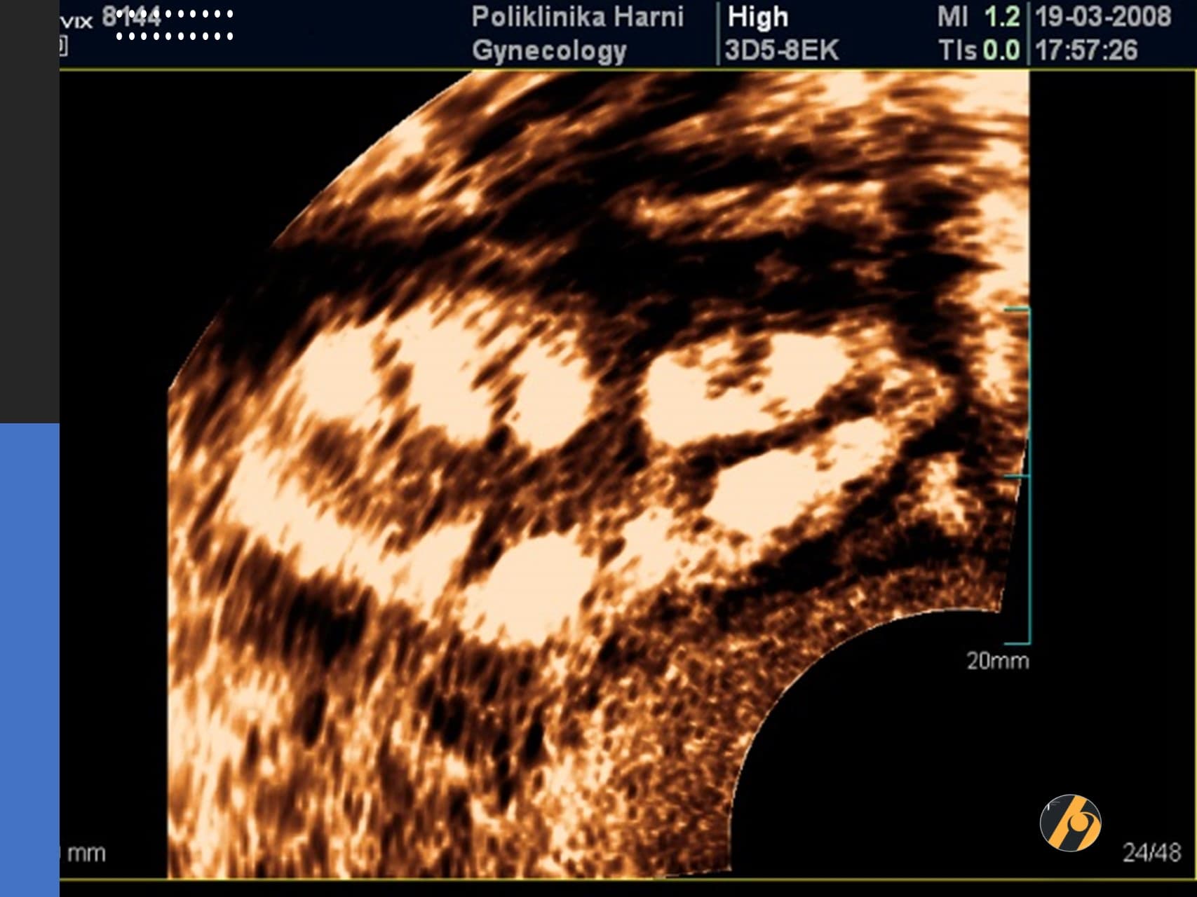
Premda su kardinalna obilježja ovog sindroma hiperandrogenizam i policističan izgled jajnika, niti jedan od pojedinačnih kriterija nije dovoljan da bi se postavila dijagnoza sindroma policističnih jajnika. Osnovna metoda u dijagnostici PCOS je ultrazvučni pregled. Koristi se transvaginalni ultrazvuk, prilikom čega se procjenjuje jesu li povećani jajnici, je li stroma - unutarnji dio jajnika koji proizvodi hormone, zadebljana, postoje li veliki broj folikula koji često tvore sliku ogrlice od perli ako su smješteni periferno ili stvaraju dojam mikrocističnosti kod difuznog rasporeda.
Dijagnoza PCOS prema Rotterdamskim kriterijima postavlja se kada žena ima najmanje dvije od sljedeće tri manifestacije: neredoviti menstrualni ciklusi ili anovulacija, povišena razina muških spolnih hormona i/ili jajnici čiji je volumen veći od 10 ml s najmanje 12 folikula na jednoj zamrznutom ultrazvučnoj slici jajnika. Nužno je isključiti ostala stanja sa sličnim znacima kao što su tumori koji stvaraju muške spolne hormone ili Cushingova bolest. Jajnici koji imaju policističan izgleda, s normalnom funkcijom i bez povišene razine muških spolnih hormona ne spadaju u sindrom policističnih jajnika i ne treba ih kao takve liječiti.
Uz ultrazvuk se u postavljanju dijagnoze PCOS koristi i niz drugih pretraga kao što su mjerenje protoka krvi kroz jajnike (kolor Dopler), određivanje bazalnog hormonskog statusauz analizu metabolizma – određivanje inzulinske rezistencije praćenjem razine glukoze i inzulina i testa opterećenja šećerom - OGTT, analiza učinkovitosti inzulina, mjerenje količine i rasporeda masnog tkiva i druge pretrage, ovisno o vodećim simptomima.
Tipične endokrinološke promjene obuhvaćaju porast razine muških spolnih hormona testosterona i androstendiona (hiperandrogenemija) kao i izmijenjena funkcija hipofize s prevagom LH u odnosu na FSH (inverzan FSH/LH ratio). Prateće pojave su česta hipotireoza (smanjena funcija štitnjače), hiperprolaktinemija, hiperinzuilinemija i inzulinska rezistencija, te poremetnja funkcije nadbubrežne žlijezde.
Inzulinska rezistencija može se pojaviti u do 50% bolesnica s PCOS-om, tako da je preporuka ESHRE/ASM konsenzusa učiniti oralni test tolerancije glukoze (OGTT) u svih pacijentica s PCOS. Razina LH je često povišene u žena s PCOS, osobito u usporedbi s FSH. Omjeri LH / FSH mogu biti povišeni u do 95% žena s PCOS-om ako su isključene žene s nedavnom ovulacijom. Kliničke implikacije ove abnormalnosti nisu jasne. Iako su neka istraživanja sugerirala niže stope plodnosti i veće stope pobačaja za žene s visokom razinom LH, druga istraživanja su u suprotnosti s tim podacima. Razine LH ne moraju se rutinski provjeravati u bolesnica s PCOS-om.
Suvremena istraživanja su pokazala da žene koje ne ispunjavaju sve kliničke kriterije za postavljanje dijagnoze PCOS, nemaju daljnje probleme i komplikacije. Žene s PCOS-om imaju povećan rizik od dijabetesa, a taj se rizik povećava ako pacijent ima anovulacijski i ovulacijski PCOS. Rani početak brojnih hormonskih i metaboličkih odstupanja, kao i često pasivan odnos prema liječenju PCOS nosi čitav niz rizika za zdravlje žene kao što su: neredovita krvarenja iz maternice, dva do tri puta češći spontani pobačaji, anemija, kao i nenormalna razina triglicerida i kolesterola u krvi. Međutim, PCOS nije definitivno povezan s povećanim rizikom od kardiovaskularnih bolesti, raka endometrija ili smrti, kao što se ranije tvrdilo.
dr. Vesna Harni









