Endometrioza označuje prisutnost stanica endometrija, sluznice i strome koji u normalnim uvjetima oblažu unutrašnjost materišta (cavum uteri) izvan šupljine maternice: na jajnicima, jajovodima i peritoneumu, potrbušnici male zdjelice (endometriosis genitalis externa), okolnim (mokraćni mjehur, crijevo, bubrezi) ili udaljenim organima kao što su pluća, kralježnica, nosna sluznica i kirurškim ožiljcima (endometriosis extragenitalis).
Raseljene stanice endometrija posjeduju u većoj mjeri estrogenske receptore (40-60%), a u opisanim sijelima dolazi do imitacije menstrualnog ciklusa i krvarenja u vrijeme menstruacije, o čemu u konačnici ovisi izgled endometriotičkog žarišta.
Lezije se javljaju u vidu neznatno pigmentiranih bjelkastih ili žućkastih zadebljanja, ožiljaka i mjehurića, do krvavo-crvenih, smeđih i crnih zadebljanja i tumora, dok je tipična slika endometrioze nalaz krvave ili čokoladne ciste u maloj zdjelici, po pravilu na jednom ili oba jajnika. Ako se tkivo endometrija nalazi u jajovodima nerijetko dolazi do neprohodnosti jajovoda i neplodnosti. Endometriotička su žarišta u principu dobroćudne i izlječive tvorbe, premda neki klinički fenomeni nalikuju na oboljenja s malignim rastom: peritonealna žarišta mogu biti uzrok nastanka grubih priraslica i ograničenja funkcije zahvaćenih organa, što vodi ne samo funkcijskom gubitku organa, već i mehanički uvjetovanim bolovima.
Rasprostranjenost žarišta endometrioze ne stoji uvijek u srazmjeri s tegobama. Neke žene nemaju nikakovih tegoba / asimptomatska endometrioza. U ovih su žena lezije obično minimalne ili u vidu ožiljkastih promjena koje ukazuje na ranije aktivno žarište, a otkrivaju se slučajno za vrijeme drugog kirurškog zahvata.
Kod drugih žena, koje također nemaju simptome, endometrioza se obično dijagnosticira u okviru redovitog ginekološkog pregleda ili obrade zbog neplodnosti. Neke žene pak, pate od intenzivnih tegoba, koje obuhvaćaju prije svega jake bolove, za vrijeme mjesečnice, za vrijeme spolnog odnosa ili kronične zdjelične bolove, koji mogu biti praćeni bolnim pražnjenjem mjehura ili crijeva ili pojavom krvi u urinu ili stolici.
Poseban oblik endometrioze predstavlja adenomioza, označena pojmom endometriosis genitalis interna. Radi se o razaranju bazalnog sloja sluznice i prodiranju endometrija u dublje slojeve mišićnog tkiva maternice sa stvaranjem cističnih struktura i krvnih jezeraca. Bolest se javlja najčešće između 40.- 55. godine života, a odlikuje se perimenstrualnim bolovima i najčešće obilnim i dugotrajnim krvarenjima.
Pojavnost
Podaci o pojavnosti endometrioze razlikuju se ovisno o etničkoj pripadnosti ili određenim anamnestičkim karakteristikama. U općoj populaciji Američkih žena učestalost endometrioze se procjenjuje na 10%, dok se u žena s bolovima u zdjelici dijagnosticira u 82% slučaja. U skupini žena koje se liječe od neplodnosti nalazi se u 20-50% pacijentica, dok se u pacijentica podvrgnutih drugom kirurškom zahvatu, npr. sterilizaciji dijagnosticira u 3.7 – 6% žena.
Između 1990. i 1998. godine endometrioza je u američkim klinikama bila treća najčešća dijagnoza na otpusnim listama u skupini žena starosne dobi između 15-44 godine. U srednje-europskom području pojavnost endometrioze u reproduktivnoj dobi procjenjuje se na 15% žena, od kojih je u polovini slučajeva nužno liječenje. Stručnjaci procjenjuju da je endometrioza prisutna kod 2-4 milijuna žena u Saveznoj Republici Njemačkoj i preko 100 milijuna žena širom svijeta. Učestalost je u porastu u industrijskim zemljama, a početak bolesti otkriva se sve češće u mlađoj životnoj dobi.
Simptomi
Različiti oblici endometrioze mogu ponekada otežati postavljanje prave dijagnoze zbog javljanja nespecifičnih simptoma. Simptomi koji odgovaraju endometriozi su bolovi u maloj zdjelici, bilo da se radi o bolnim menstruacijama, bolovima kod spolnog odnosa ili bolovima neovisnim o odnosu ili mjesečnici, što se naravno može dogoditi i u normalnom ciklusu zdrave žene. Tegobe koje ukazuju na endometriozu kao bolest obuhvaćaju ponavljanje ovih tegoba, ritam ponavljanja može biti pravilan, prilikom svake menstruacije ili se tegobe mogu javljati samo povremeno.
U tipičnom slučaju radi se o snažnim zdjeličnom boloima, koji obično počinju jedan ili dva dana prije menstruacije, a mogu potrajati i nekoliko dana po nastupanju menstrualnog krvarenja.
Ostale tegobe obuhvaćaju abnormalna vaginalna krvarenja, učestalo mokrenje, zatvor ili proljev, kao i pojavu krvi u stolici ili urinu.
Težina simptoma vjerojatno odgovara dubini endometriotičkih žarišta, kao i sijelima ili priraslicama u blizini završetaka živčanih vlakana. U oko trećine pacijentica, endometrioza se otkriva slučajno zbog odsustva ikakovih tegoba, obično tijekom obrade u okviru neplodnosti.
Tijekom ginekološkog pregleda, ginekolog se katkada susreće s nalazom karakterističnim za endometriozu. Endometrioza je češća kod retrovertirane maternice, maternice koja gleda put kralježnice, a pri pregledu češće se nalazi napetost, bolna rezistencija ili čvorići duž različitih anatomskih dijelova unutarnjih spolnih organa, a koji odgovaraju žarištima endometrijskog tkiva.
Endometrioza se sa sigurnošću može dijagnosticirati isključivo uzimanjem tkivnog uzorka lezije i patohistološkom analizom, najčešće tijekom dijagnostičke laparoskopije. Kod laparoskopije se optičkim instrumentom ulazi u trbušnu šupljinu i izravno promatra prisutnost, izgled i rasprostranjenost endometriotičkih žarišta, uz istodobnu mogućnost proširenja dijagnostičkog u terapijski zahvat. Pri tome zahvatu se nakon uzimanja uzorka za analizu preostala žarišta najčešće uklone kirurški ili termokoagulacijom. Laparotomija, klasični kirurški rez koji se ubraja u invazivnije kirurške postupke, obično je rezervirana za pacijentice s veoma rasprostranjenom lezijama.
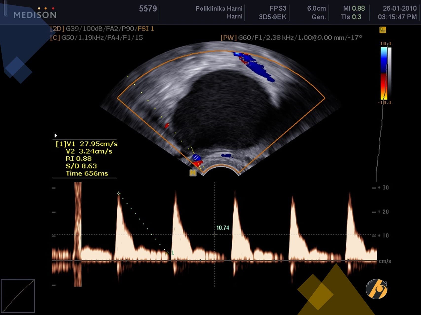
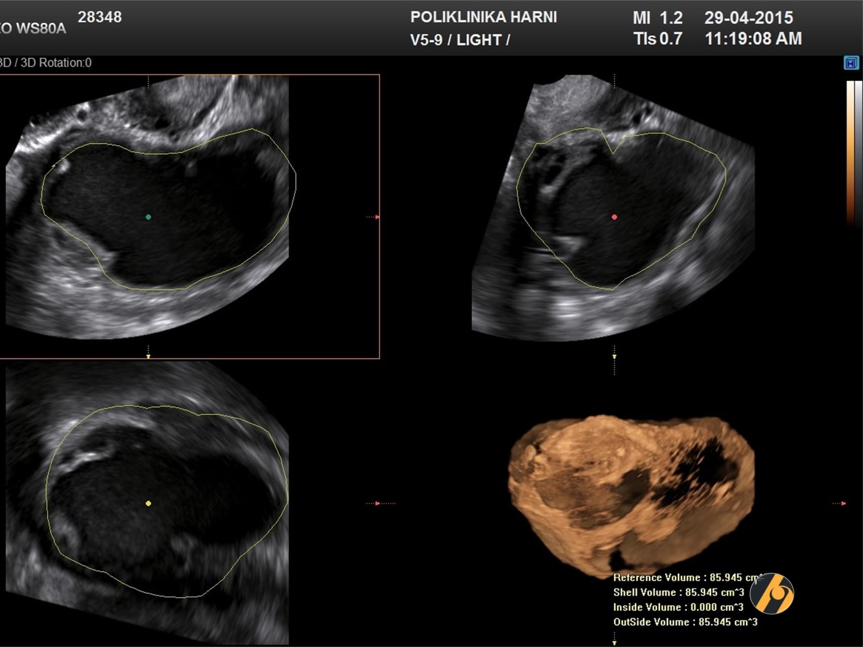
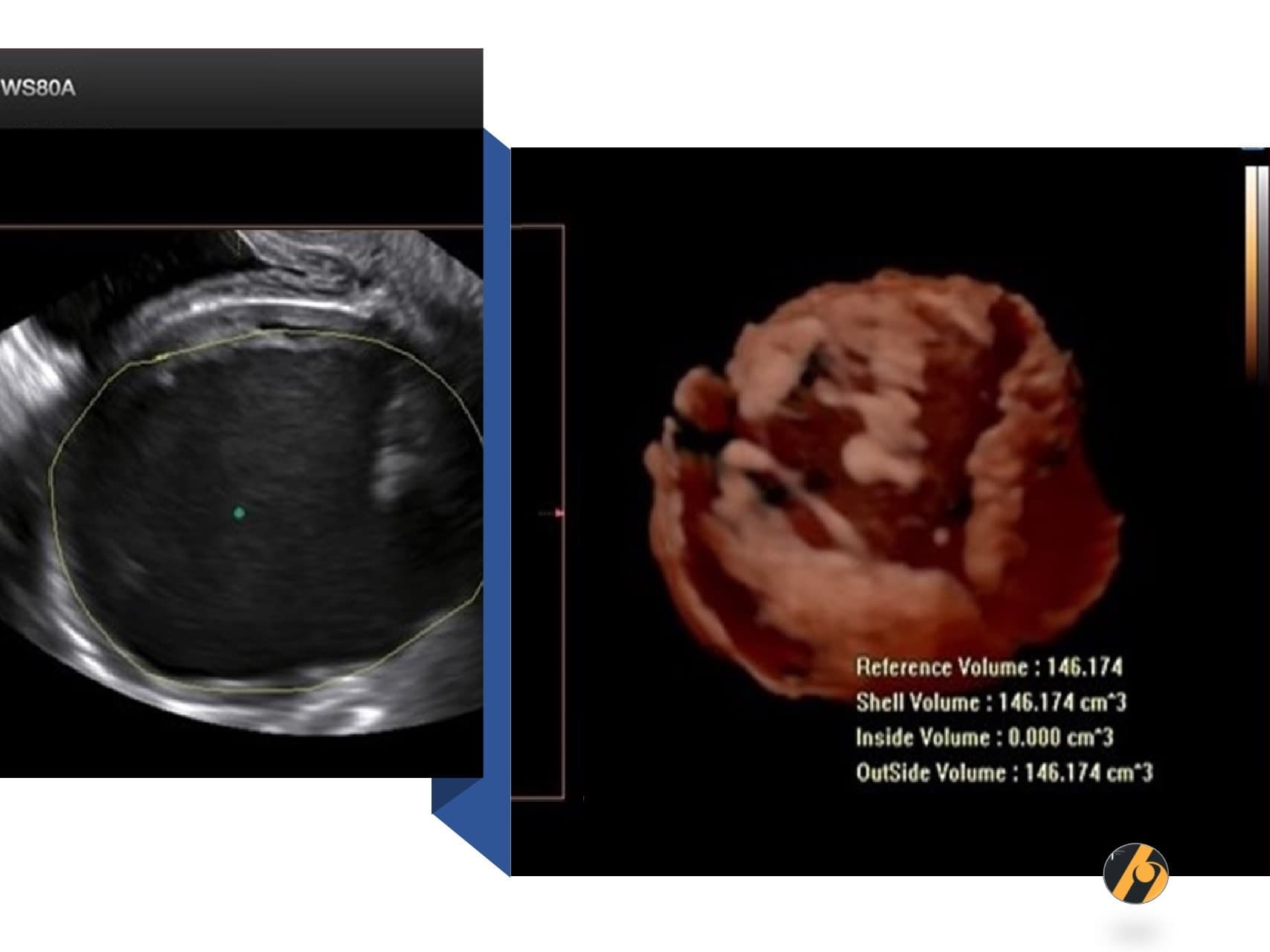
Premda su laparoskopija i patohistološka dijagnostika zlatni standard u dijagnostici endometrioze, u postavljanju dijagnoze od pomoći mogu biti i drugi manje invazivni postupci. Nažalost, ove tehnike kao što su transvaginalna sonografija i magnetska rezonancija nisu u stanju otkriti manje ili lezije koje su manje aktivne. Transvaginalna ultrazvučna dijagnostika učinkovito otkriva endometriotička žarišta čiji je promjer veći od 19 mm (¾ incha).
Manje direktna dijagnostička metoda uključuje i mjerenje razine tumorskog biljega CA 125. Tumorski biljezi su tvari koje stanice tumora izravno stvaraju ili potiču njihovo lučenje iz netumorskih tkiva odnosno stanica.
CA 125 je bjelančevina koju stvaraju epitelne stanice određenih organa, prije svega jajovoda, maternice, vrata maternice, ali i poplućnica i potrbušnica. Najveća vrijednost mu je u dijagnostici i praćenju liječenja bolesnica s karcinomom jajnika, ali i karcinomom dojke, vrata maternice, endometrija, debelog crijeva i pluća. Povišene vrijednosti nađene su i kod nekih dobroćudnih bolesti - endometrioza, ciste jajnika, upala jajnika i jajovoda, upala potrbušnice i akutne upale gušterače. Otuda povišene vrijednosti CA 125 nisu stvarni dijagnostički pokazatelj prisustva endometrioze, no prava vrijednost ovog tumorskog biljega leži u praćenju progresije endometrioze tijekom ili nakon liječenja.
dr. Vesna Harni









