Razvojne anomalije ženskog reproduktivnog trakta su urođena, blaža ili teža odstupanja od normalno razvijenog ženskog genitalnog sustava. Normalan razvitak, kao i izgled vanjskih i unutrašnjih ženskih spolnih organa podjednako ovisi o složenoj dinamici i međudjelovanju kromosomske predefiniranosti spola i hormonske stimulacije tijekom embrionalnog razdoblja.
Najčešće su u pitanju rana embrionalna oštećenja veoma često kombinirana s nasljednim ili slučajno nastalim kromosomskim abnormalnostima. U jednom slučaju je to aplazija ili potpuni nedostatak jednog ili više dijelova reproduktivnog sustava, dok su to u drugom slučaju anomalije nastale tijekom spajanja Müllerovih kanala iz kojih se razvijaju jajovodi, maternica i gornja trećina vagine. Pogrešno spajanje ovih kanala razlog je anomalija koje prije svega vidimo ako je u pitanju vanjsko spolovilo ili otkrivamo slučajno pri ginekološkom i osobito ultrazvučnom pregledu.
Maternica / uterus je mišićni organ, kruškolikog oblika smješten u središnjoj liniji male zdjelice između mokraćnog mjehura i debelog crijeva, a neposredno iznad vagine. Sastoji se od tijela maternice kojeg čine debela mišićna stijenka s virtualnom šupljinom / kavum kojeg oblaže maternična sluznica i vrata maternice / cerviks. Temeljna funkcija maternične sluznice / endometrija je pružanja adekvatne sredine za razvoj i sazrijevanje oplođene jajne stanice.
Maternica, jajovodi i gornja trećina vagine nastaju spajanjem dvaju Müllerovih kanala u njihovom središnjem dijelu. Ukoliko dođe do nepotpunog spajanja tih kanala tijekom ranog embrionalnog razvoja, dolazi do nastanka različitih uređnih anomalija.
Razvojne anomalije ženskog spolnog sustava
Prirose javljaju na tri razine:
- anomalije u razvitku ženskih spolnih žljezda - jajnika / ovarija,
- anomalije spajanja Müllerovih kanala - anomalije u nastanku jajovoda, maternice i vagine i
- abnormalnosti u razvitku vanjskog spolovila.
Razvojne anomalije mogu biti razlogom potpunog izostanka menstruacije, menstrualnih poremećaja, neplodnosti, smanjene plodnosti, ponavljanih spontanih pobačaja ili prijevremenih porođaja, ali najčešće ne stvaraju problema. Učestalost razvojnih anomalija u općoj populaciji iznosi 1-3%, a mnoge žene koje imaju razvojne anomalije maternice nisu za to niti saznale ako nisu pokušale ostvariti trudnoću.
Ove anomalije obuhvaćaju potpuni nedostatak jajnika (aplazija i ageneza jajnika) ili nalaz funkcionalno neaktivnog tkiva na njihovom mjestu što predstavlja ovarijsku disgenezu i obuhvaća sindrome kao što su Turnerov sindrom (45 XO), Triple X (47 XXX), Swyerov (46 XY), Klinefelterov (47 XXY), i Morrisov sindrom - sindrom testikularne feminizacije (46 XY). Najčešće se radi o kromosomskim abnormalnostima ili intrauterinom oštećenju.
Urođena obostrana aplazija jajnika kada je funkcionalno tkivo jajnika zamijenjeno fibroznim trakama, veoma je rijetko. Češće se nalazi hipoplazija jajnika, po fetalnom tipu. Ti jajnici su izduljeni, glatki i tanki, a česti su i prijelazni oblici u rudimentarni jajnik. Vrlo često se nalaze udružene anomalije urotrakta kao što su aplazija istostranog uretera i bubrega.
Pored aplazije/ageneze postoje i slučajevi ektopičnog jajnika, kada se može krivo postaviti prva dijagnoza, a jajnik zapravo postoji samo nije na tipičnom mjestu u maloj zdjelici. Kod ektopije jajnika, jedan ili oba jajnika su zaostali tijekom spuštanja iz trbušne šupljine u malu zdjelicu. Kod nepotpunog razvijenog tubernakuluma jajnik se može zaostati u ingvinalnom kanalu ili se kroz ingvinalni kanal spustiti u velike labije, što se nalazi kod kongenitalne hernije. Ti jajnica obično ne izazivaju nikakve simptome, rijetko postoje poremećaji menstruacije i neplodnost. Kongenitalna hernija se slučajno otkrije u djetinjstvu, ili u pubertetu kada može izazivati bolnosti tegobe ovisno o menstrualnom ciklusu.
Anomalije u spajanju Müllerovih kanala
Anomalije u nastanku jajovoda, uterusa i vagine obuhvaćaju nedostatak ili različite stupnjeve nepravilnog spajanja i srastanja, odnosno neprohodnosti jajovoda, maternice i rodnice: aplazija i atrezija, kao i pojavu različitih oblika septuma koja u krajnjoj liniji može rezultirati nastankom dvostruke ili pak jednoroge ili dvoroge maternice.
Aplazija maternice / nedostatak maternice može postojati kao samostalna anomalija ali je vrlo često udružena s aplazijom rodnice i tada govorimo o sindromu Kuster-Mayer-Rokitansky prema autorima koji su opisali te promjene. U tih pacijentica, umjesto maternice nalazimo na vezivno zadebljanje u središnjoj liniji male zdjelice uz uredno formirane jajovode i vrlo plitku vaginu. Zbog uredne ovarijske funkcije one imaju uredna spolna obilježja, ali nemaju menstruaciju zbog nedostatka maternice. Zbog plitke rodnice nužna je njena korekcija za održavanje normalnog spolnog odnosa. Danas te bolesnice mogu ostvariti svoje materinstvo isključivo pomoću surogat majke u onim zemljama koje imaju pravno regulirane ove odnose.
Aplazija/ageneza vrata maternice označuje odsutnost vrata maternice, uz mogućnost i neadekvatnog razvoja vagine. U većem dijelu slučajeva vagina slijepo završava. Problemi nastaju tijekom spolnog sazrijevanja i u vrijeme očekivane prve menstruacije, kada zbog nemogućnosti otjecanja menstrualne krvi dolazi do njezina zadržavanja unutar maternične šupljine. Kirurško liječenje s formiranjem kanala koji omogućuje otjecanje menstrualne krvi, jedini je mogući oblik liječenja. Zbog nemogućnosti održavanja njegove prohodnosti na dulje vrijeme kao rješenje se postavlja kirurško odstranjenje maternice. Nažalost, zanošenje i iznošenje trudnoće u vlastitom tijelu nije moguće, ostvarivo isključivo pomoću surogat majčinstva.
Septirana maternica
Učestalost razvojnih anomalija maternice, koje nastaju uslijed nepravilnog spajanja Müllerovih cijevi i resorpcije u međuvremenu nastalog septuma je u općoj populaciji 5-10%, premda su podatci u literaturi različiti ovisno o karakteristikama skupina žena koje su ispitivane (normalna plodnost, nepodnost, spontani pobačaji).
Septirana ili pregrađena maternica / Uterus septus ili pregrađenu maternicu čine dvije maternične šupljine koje su međusobno odijeljene pregradom u cijeloj duljini ili djelomično (parcijalno septirana maternica). Smatra se da je 15–25% spontanih pobačaja uzrokovano razvojnim anomalijama uterusa, a većina je udružena s nepotpuno ili potpuno septiranom maternicom koja nastaje poremetnjom resorpcije septuma koji nastaje prilikom spajanja Müllerovih kanala. Ovaj tip spontanih pobačaja zbog septiranog uterusa nastaju između 8. i 16. tjedna trudnoće, pretpostavlja se da je uzrok neadekvatna implantacija u području septuma koji je oskudno opskrbljen krvlju. Prerani porod može biti uzrokovan povećanim intrauterinim tlakom s relativnom insuficijencijom vrata materenice, manjkom estrogenskih i progesteronskih receptora u malformiranoj maternici, što može dovesti do abnormalnih kontrakcija uterusa i fetalnog gubitka.
Abnormalno spajanje Müllerovih kanala
Abnormalnom fuzijom Müllerovih kanala nastaju jednoroga, dvoroga ili dupla maternica. Jednoroga maternica / uterus unicornis se jedna od najrjeđih razvojnih anomalija maternice. Takva maternica je vrlo često položena postranično u maloj zdjelici. Raspoznajemo četiri oblika ove anomalije, ovisno o nalazu zakržljalog roga i postojanju njegove komunikacije s maternicom i kao i o prisutnosti endometrija i njegovih promjena sukladno hormonskim utjecajima tijekom menstrualnog ciklusa. Smatra se da oko 30% žena s ovim oblikom anomalije imaju zabilježenu otežanu mogućnost zanošenja, dok 60% onih koje ostvare trudnoću spontano pobace tijekom prvog tromjesečja.
Dvoroga maternica / uterus bicornis čine dvije maternične šupljine odijeljene u cijelosti, uz jedan cerviks. Tijelo maternice je u gornjoj trećini odijeljeno dubokim utorom koji formira dva jasna roga koji se u donjoj trećini spajaju i čine jedan vrat maternice. Ukoliko imamo dvije maternične šupljine i duboki utor na tijelu maternice s vanjske strane, ali dva vrata maternice, govorimo o uterusu didelphysu / dvostrukoj maternici.
Dvostruka maternica /uterus didelphys, uterus duplex posljedica je izostanka bilo kakvog spajanja dvaju Müllerova kanala. Svaki rog maternice je potpuno razvijen i gotovo normalne veličine, postoje i dva cerviksa, a nekad i dvije vagine. Trudnoća se može dogoditi u jednom od rogova i proći relativno mirno. Abnormalnosti maternične šupljine mogu dovesti do brojnih komplikacija tijekom trudnoće kao što su malpozicije fetusa (kosi položaj, položaj zatkom...), prijevremenog prsnuća plodovih ovoja, te spontani pobačaj i prijevremeni porođaj.
Anomalije u razvitku vanjskog spolovila
Predstavljene su različitim stupnjevima nepravilnog diferenciranja i djelomičnog ili potpunog spajanja ovih organa te hermafroditizmom: muški i ženski pseudohermafroditizam, Mayer-Rokitanski sindrom, adrenogenitalni sindrom, kao i pravi hermafroditizam.
Mogućnosti dijagnostike obuhvaćaju prije svega ginekološki i ultrazvučni pregled, koji se kombiniraju s kromosomskom analizom (kariotipizacija) i po potrebi histeroskopijom i laparoskopijom.
Ultrazvučna procjena maternične šupljine danas je najjednostavniji i najpristupačniji oblik postavljanja sumnje i često dijagnoze razvojnih anomalija. Konačna dijagnoza uz planiranje korekcije u žena koje žele ostvariti trudnoću postavlja se histeroskopskim i laparoskopskim putem kada se procjenjuje i opsežnost anomalije odnosno prisutnost i prohodnost jajovoda.
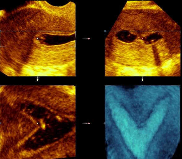
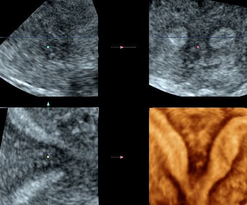
Transvaginalnim ultrazvukom je osjetljivost u dijagnostici septiranog uterusa 100%, a specifičnost 80%. Transvaginalnim ultrazvukom može se precizno odrediti indentacija (uleknuće) u fundusu i na taj način točno razvrstati radi li se o septumu koji treba operirati (aplaniran fundus) ili dvorogoj maternici, koju ne treba operirati (konveksan fundus).
Diferencijalnu dijagnostiku osobito pospješuje primjena trodimenzionalnog i kontrastnog ultrazvuka, kada se u materište instilira fiziološka otopina ili kontrast koja se potom pregledava u svim dimenzijama. Kontrastni ultrazvuk ne samo da je koristan u evaluaciji kongenitalnih anomalija uterusa, već omogućuje i ispitivanje prohodnosti jajovoda. Za trodimenzionalni ultrazvuk se kaže da nalazi uterusa koreliraju s vanjskom konfiguracijom uterusa nađenom pri laparoskopiji, da mu je osjetljivost i specifičnost 100% za dijagnozu velikih anomalija Müllerovih cijevi, i 100% preciznost za bikornualni uterus.
Histeroskopija je endoskopska metoda kojom se pregledava maternična šupljina zajedno s eventualnim septumom, koji se prilikom zahvata može i odstraniti. Laparoskopija je također endoskopska metoda kojom se pregledavaju trbušni organi uz pomoć optike, te se tako mogu vidjeti anomalije maternice, priraslice i sl. Terapija anomalija maternice naravno ovisi o uzroku i kliničkoj slici. Kod asimptomatskih oblika liječenje nije potrebno.
U liječenju neplodnosti najbolju prognozu imaju anomalije spajanja, gdje je normalnu trudnoću vrlo često moguće ostvariti uz minimalne ili nikakove kirurške intervencije. U slučaju anomalija razvitka spolnih žljezda ili vanjskih genitalija liječenje se svodi na prije svega kiruršku korekciju i hormonsko nadomjesno liječenje.
dr.Vesna Harni









