Jedan od najvažnijih aspekata u etiologiji mioma, uzročnik i inicijator njihovog nastanka je i danas nepoznat, iako postoji više teorijskih objašnjenja.
Još je čuveni njemački patolog Meyer na temelju histogenetske studije mioma, pokazao da ne postoje nikakove posebne mišićne stanice maternice tipa stanice majke mioma, od kojih bi se mogao razviti proliferirajući miom. Najraniji izgled mioma predstavljen je zadebljanjem materničnog mišića koji je izravno povezan s normalnom muskulaturom maternice.
Drugi znanstavnici su tvrdili da je maternica vrlo primitivan poseban organ koji sadrži mnoge nediferencirane stanice, nazvane genitoblastima. Tijekom embrionalnog života te stanice oblikuju maternicu, dok u kasnijem životu osiguravaju podlogu za hiperplaziju mišićnih stanica u trudnoći i regeneraciju endometrija nakon porođaja. Pod patološkim uvjetima, uslijed hormonske disfunkcije jajnika, ovi genitoblasti mogu dovesti do stvaranja fibroida uterusa, endometrioma ili adenomioma.
Hormonska ovisnost mioma
Jedna pretpostavka je da povećana razina estrogena i progesterona rezultira povećanjem broja mitotičkih dioba, s čime raste i mogućnost somatske mutacije i nastanka abnormalnih mišićnih stanica koje tvore miom.
Miomi se ne razvijaju dok tijelo ne počne proizvoditi estrogen s početkom menstruiranja. Tijekom reproduktivnih godina, hormonska neravnoteža može voditi nastanku i rastu mioma. Hormonska neravnoteža nastaje kada se mijenja omjer u razinama estradiola i progesterona, pri čemu se najčešće radi o dominaciji estrogena. Najčešća hormonska neravnoteža koja dovodi do nastanka mioma je niska razina progesterona u odnosu na estrogen.
Proizvodnja progesterona smanjuje se tijekom 30-ih i 40-ih godina. Kada se unose dodatni estrogeni, kao što su oni iz kontraceptivnih pilula, hormonske nadomjesne terapije ili biljni i okolišni estrogeni, može doći do hormonske neravnoteže.
Pored toga, miomi vrlo brzo rastu tijekom trudnoće kada tijelo proizvodi dodatne estrogene, a često se smanjuju i nestaju nakon menopauze kada tijelo prestane proizvoditi estradiol. Međutim, ako žena koristi hormonsku nadomjesnu terapiju dugi niz godina, postoji mogućnost viška uskladištenih estrogena koji mogu spriječiti smanjenje mioma nakon menopauze. Miomi gotovo nikada ne nastaju u žena nakon menopauze.

Premda ne uvijek, povremeno se objave podatci o većoj učestalosti mioma među sestrama ili kod majki i kćeri.
Urođena abnormalnost mišićnih vlakana iz kojih se razvija miom temelji se na nalazu statistički većeg broja estrogenskih receptora u miomu, što predstavlja dobru podlogu za objašnjenje genetičkog čimbenika i veću učestalost mioma u nekim obiteljima i etničkim skupinama.
Odgovor na traumu
Veoma zanimljiva teorija o nastanku mioma postulira njihov kao odgovor na traumu, slično nastanku hipertrofičnih ožiljaka keloida. Potencijalna oštećenja mišićnih stanica maternice nastala bi uslijed ishemije / nedovoljnog krvnog optoka kroz maternicu zbog povećanog otpuštanja vazoaktivnih tvari koje smanjuju protok krvi kroz mišićni dio maternice u vrijeme mjesečnice. Povišena sekrecija ovakovih, vazoaktivnih tvari kao što su prostaglandin i vazopresin, opažena je kod dismenoreje, a nastaje kod 70% žena tijekom prvih pet godina nakon prve mjesečnice.
Pitanje na koje još treba odgovoriti je i reagiraju li glatke mišićne stanice maternice na ishemično oštećenje načinom analognim oštećenju vaskularnih glatkih mišićnih stanica, koje podliježu transformaciji, pa iz kontraktilnog fenotipa prelaze u proliferativno-sintetički fenotip. Neke morfološke sličnosti postoje, s obzirom da se kod mioma registriraju i povišena proliferacija i sinteza ekstracelularnog fibroznog matriksa. Nakon vaskularnog oštećenja, kritični čimbenik u nastanku proliferacije glatkih mišićnih stanica krvnih žila je basic fibroblastic growth factor – bFGF, čija se prekomjerna ekspresija bilježi i kod mioma.
Maligna alteracija
Zloćudne promjene se javljaju u 0.1 – 0.5% pacijentica s miomom, a najčešći oblik malignoma je lejomiosarkom, s različitim histološkim varijantama. Zloćudna promjena češća je u starijih, postmenopauzalnih pacijentica s brzim rastom tumora, postmenopauzalnim krvarenjem i umjerenim, rjeđe izraženim tegobama ili bolovima u području zdjelice.
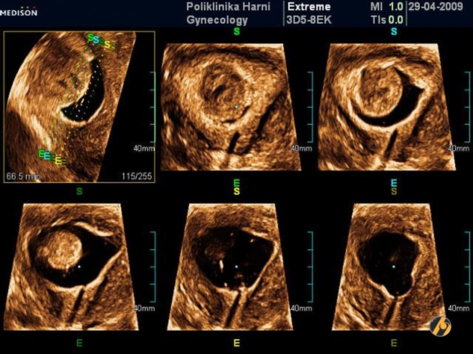
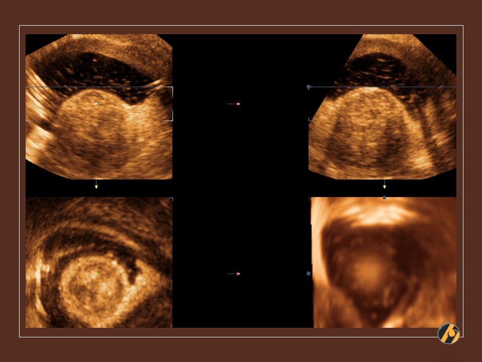
Unatoč velikoj pojavnosti, izučavanju uzroka i patogeneze mioma sve do posljednjih desetak godina posvećeno je malo pozornosti, vjerojatno zbog toga što miomi rijetko podliježu malignoj alteraciji. Za razliku od zloćudne promjene, dobroćudne promjene mioma u smislu nekroze, degeneracije, kalcifikacija i posljedične infekcije su česte. Prisutnost degenerativnih promjena se procjenjuje na oko 2/3 svih mioma.
dr. Vesna Harni









