Rak jajnika je relativno rijedak tumora i čini ukupno 4% svih dijagnosticiranih i 28.5% svih ginekoloških karcinoma u žena u Hrvatskoj (HZJZ, Bilten broj 40 za 2015. godinu). Predstavlja drugi po učestalosti ginekološki malignom, odmah nakon raka endometrija, dok je najčešći uzrok smrtnosti od ginekoloških tumora kako u Hrvatskoj tako i u razvijenim zemljama. Incidencija karcinoma jajnika je 18.4/100.000 žena. U odnosu na sve ostale malignome (rak dojke, debelog crijeva, endometrija, vrata maternice, pluća), karcinom jajnika još uvijek ima najlošiju prognozu. Procjenjuje se da 1 - 2% svih žena tijekom života oboli od karcinoma. Rak jajnika je prije svega bolest poslijemenopauzalnih žena. Prosječna starost u kojoj žene obolijevaju od ovarijskog karcinoma iznosi 50 - 65 godina.
Predisponirajući rizični čimbenici u nastanku ovarijskog karcinoma su nuliparitet (teorija uzaludnih ovulacija), prisutnost onkogena (primjerice, mutacija K-ras i HER-2/neu) i tumorsupresorskih geni (BRCA1 i BRCA2 geni kod obiteljskog raka jajnika, inaktivacija p53 u obiteljskom i sporadičnom raku jajnika) i ekološki čimbenici (talk, prehrana, HNL).
Rak jajnika češće se javlja u žena koje imaju normalnu ovulaciju, ali nikada nisu zatrudnjele. Teorija pokušava ovu činjenicu objasniti traumom površinskog epitela sa svakom ovulacijom, kao i procesom cijeljenja ove traume pri čemu djelići površnog epitela ostaju zarobljeni unutar strome. U drugom koraku, direktna ili indirektna stimulacija ovog zatvorenog epitela može dovesti do njegove maligne alteracije. U prilog ovome idu podaci o manjem riziku nastanka karcinoma jajnika u žena koje su više puta rađale, koje su uzimale oralne kontracepcijske tablete, kod kojih se kasnije javila prva menstruacija i ranije nastupila menopauza (manji broj uzaludnih ovulacija tijekom života).
Pojedine vrste tumora javljaju se vrlo često ili gotovo isključivo u određenim dobnim skupinama. Benigni tumori javljaju se u prosjeku s 45 godina života, tumori granične zloćudnosti ili tumori granične malignosti s 49 godina i manifestni karcinomi s 55 godina. Epitelni tumori nastaju najčešće do 40. godine života, potom nešto rjeđe, da bi drugi vrhunac pojavnosti dostigli s oko 60 godina. Neki teratomi su tipični tumori mladih djevojaka. Većina tumora koji nastaju prije 25 godine života potječu iz spolnih stanica. Podaci o učestalosti karcinoma jajnika kod Japanki i Kineskinja, gdje se ova bolest javlja s incidencijom od 1 - 2/100,000 žena govore u prilog značaja prehrane i ekoloških čimbenika, o kojima se nažalost ne zna mnogo. Različite studije ukazuju na povećani rizik uz povećani unos mesa i masnih proizvoda.
Rak jajnika krovni je naziv koji se odnosi na heterogenu skupinu malignih oboljenja koja proizlaze iz jajnika ili su uključena u njega. Morfološki, rak jajnika je klasificiran u dvije široke kategorije:
- neepitelni karcinom jajnika / non-epitelhalial ovarian cancer – NEOC i
- epitelni karcinom jajnika /epitelhalial ovarian cancer – EOC.
Postoje dvije vrste NEOC-a:
- tumori spolnih stanica / germ cells tumor- GCT i
- tumori specijalizirane strome (sex cord) jajnika / sex cord stromal cells tumor- SCST.
Iako je 10–15% slučajeva raka jajnika NEOC, velika većina (85–90%) pripada EOC-u.
Prema morfologiji, molekularnim izmjenama i kliničkom ponašanju, epitelni karincom jajnika / EOC je dalje podijeljen u dvije skupine:
- tip I i
- tip II.
Tumori tipa I su karcinomi jajnika niskog stupnja malignosti, koji sporo rastu. Tumori tipa II su agresivna maligna oboljenja visokog stupnja. Najčešći maligni tumor tipa II je serozni karcinom jajnika visokog stupnja, također poznat kao HGSC - high-grade serous carcinoma. Stoga bi alternativni, klinički koristan način podjele seroznih karcinoma jajnika bio jednostavno raslojavanje istih u dvije skupine:
- serozni rak jajnika visokog stupnja / HGSC i
- serozni karcinom jajnika koji nije visokog stupnja / non-HGSC.
Iako su obje vrste epitelni karcinomi jajnika, ove dvije skupine su biološki različite malignosti. Non-HGSCs su uglavnom indolentni tumori ograničeni na jajnik u vrijeme dijagnoze. Suprotno tome, HGSC je samo po sebi agresivno oboljenje, koje se obično nalazi kao bolest uznapredovalog stadija i čini većinu smrti od raka jajnika. Dakle, karcinom jajnika je također u velikoj mjeri sinonim za serozni karcinom jajnika visokog stupnja / HGSC. Iako značajna težina kliničke slike tumora često uključuje zahvaćenost jajnika u vrijeme postavljanja dijagnoze, tipična je i raširena metastatska bolest koja uključuje jajovode, peritonealne površine i omentum, čime ostaju skrivena tkiva i stanice podrijetla raka jajnika. Najveći izvor tumora je pokrovni epitel, od kojeg potječe 60 - 70% svih tumora. Tumori spolnih stanica čine 15 - 20% svih tumora, a tumori specijalizirane ovarijske strome sačinjavaju 5 - 10% tumora. Metastatski tumori čine 5% tumora.
Premda ne postoje pravi, kardinalni simptomi raka jajnika, najnovija istraživanja ukazuju da čak 93% pacijentica s ovarijskim karcinomom ima barem jedan od 8 ispitivanih simptoma – napuhnutost trbuha (abdominalna distenzija, povećani trbuh, osjećaj uske garderobe), punoća ili pritisak u donjem dijelu trbuha ili zdjelici, bol u trbuhu ili donjim dijelovima leđa, gubitak energije, često mokrenje, promjene pražnjenja stolice (zatvor, proljev, krvarenje na debelo crijev), gubitak apetita i mučnina il, žgaravica.
Osim navedenih općih simptoma, često se javljaju nepravilnosti menstrualnog ciklusa, bolne menstruacije ili krvarenje u poslijemenopauzi. Kod uznapredovalih slučajeva mogući su još ascites, subileus, ileus, gubitak na težini i kaheksija, kao i virilizacija kod tumora koji stvaraju muške spolne hormone.
Unatoč nespecifičnom karakteru navedenih simptoma, podučavanje pacijentica osobito onih starijih od 50 godina mogla bi pomoći u ranijoj dijagnozi i uspješnijem liječenju.
Dijagnoza
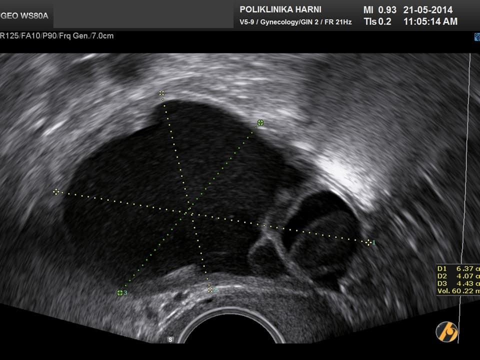
Nažalost, još uvijek ne postoji znanstveno potvrđena dijagnostička metoda koja bi se mogla nazvati metodom probira za karcinom jajnika. Za rano otkriće raka jajnika nužne su i veoma važne redovite ginekološke kontrole uz vaginalni ultrazvuk, odnosno pregled vaginalnim color-Doppler ultrazvukom. U slučaju nejasnih nalaza, uz standardnu laboratorijsku obradu određuju se tumorski biljezi. Optimalni tumorski biljeg za serozne karcinome koji se najčešće javljaju je CA 125, kod rjeđih mucinozni varijanti su to CEA i CA 19-9, a kod endometrioidnih i mucinoznih karcinoma AFP, te ß-hCG kod embrionalnih i koriokarcinoma. U novije vrijeme tumorskim biljezima za rak jajnika su pridodani HE-4 i ROMA indeks.
Sljedeća dijagnostička, a ujedno i terapijska stepenica obuhvaća laparoskopiju i histološku analizu tumorskog tkiva. U slučaju benignih tumora, liječenje se ovime završava, a u slučaju nalaza malignih stanica, ovisno o stadiju bolesti pristupa se daljnjem liječenju koje podrazumijeva laparotomiju, otvaranje trbuha rezom, kirurški staging i uklanjanje što je moguće više tumorske mase (tzv. citoredukcijska terapija). U slučaju ovarijskog karcinoma ključno je bilo zapažanje T.C. Griffithsa da "prognoza bolesnice ovisi o veličini tumorske mase koja je zaostala nakon prvog kirurškog zahvata". Otuda je veoma važno preoperativno načiniti i ostale pretrage koje bi mogle biti od značaja kod proširene operacije, kao što su intravenski urogram, cistoskopija, rektoskopija, ultrazvuk i/ili CT trbuha, odnosno PET-CT ili MR.
Prognostički čimbenici obuhvaćaju:
- Stadij / uznapredovalost bolesti – izlječenje u stadiju I iznosi 70 - 80%;
- Zahvaćenost limfnih čvorova – negativni limfni čvorovi predstavljaju dobar prognostički čimbenik;
- Histološki tip tumora – najbolja prognoza raka jajnika je kod tumora niskog malignog potencijala, potom prema vrsti tumora slijede mucinozni adenokarcinom, endometrioidni karcinom i serozni adenokarcinom;
- Grading – G1 tumori imaju dvostruko manju pojavu recidiva tijekom praćenja od 3 godine u odnosu na G2 i G3 tumore;
- Određivanje ploidnosti tumorskih stanica (aneuploidni tumori imaju lošiju prognozu)
- Ekspresija BRCA1 i BRCA2 gena, te gena p53 i p27 znači lošiju prognozu;
- Ekspresija bcl-2 , K-ras i HER2-neu znači lošiju prognozu
- Ekspresija Bcl-x proteina i proapoptotičke bjelančevine znači bolju prognozu
- Nalaz psamoma – osobito u komibinaciji sa seroznim adenokarcinomom upućuje na povoljnu prognozu;
- Veličina tumora nakon operacije – ostatni tumora manji od 1 cm je dobar prognostički faktor (2-godišnje preživljavanje: 70%);
- Prisutnost nekroze u tumoru, visoka polimorfija tumora i aneuplodija su nepovoljni čimbenici za prognozu.
Izlječenje od raka jajnika, izraženo petogodišnjom stopom preživljenja iznosi za
- stadij I: 80-90 %,
- stadij II: 25 - 45%,
- stadij III i IV: 5 - 10% ili i manje.
dr. Vesna Harni









