20. tjedan trudnoće
Polovica trudnoće
Ulaskom u 20. tjedan trudnoće nalazite se otprilike na polovici ovog posebnog razdoblja. Za mnoge trudnice ovo je važna prekretnica jer se pokreti bebe sada mogu jasnije osjetiti.
Beba
Fetus je dug približno 24 do 25 cm i težak oko 280 do 300 g. Pokreti postaju snažniji, razvijaju se osjetila, a kožu štiti sloj verniksa.
Buduća majka
Maternica doseže razinu pupka, trbuh postaje izraženiji, a mnoge trudnice jasno osjećaju pokrete bebe.
Savjet
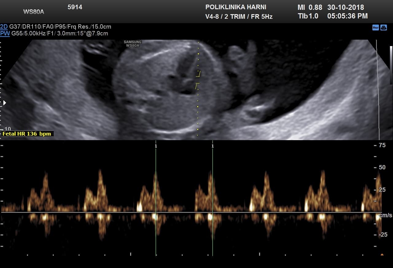
Ovo je razdoblje kada se obavlja morfološki ultrazvuk – važan pregled kojim se detaljno procjenjuje razvoj djeteta i tijek trudnoće.
Drugo tromjesečje često je razdoblje u kojem se trudnice osjećaju stabilnije i energičnije nego u prvim mjesecima trudnoće. Početne tegobe poput mučnine obično su znatno blaže, dok se tijelo sve bolje prilagođava promjenama koje trudnoća donosi.
Beba
Beba sada sve više vremena provodi u razdobljima budnosti i sna. Tijekom budnih faza aktivno se pomiče, okreće, hvata pupkovinu i vježba pokrete koji su važni za razvoj mišića i živčanog sustava.
Mozak se ubrzano razvija, a živčane veze postaju sve složenije. Beba sve bolje koordinira pokrete ruku i nogu. Mnoge trudnice u ovom razdoblju već jasno osjećaju pokrete bebe, koji se mogu opisati kao lagani udarci, mjehurići ili nježno „lepršanje“. Kako tjedni prolaze, pokreti će postajati sve snažniji i prepoznatljiviji.
Koža bebe i dalje je vrlo tanka, ali sada je prekrivena zaštitnim slojem koji se naziva vernix caseosa. To je bijela, masna tvar koja štiti osjetljivu kožu od stalnog djelovanja plodne vode. Po cijelom tijelu razvijaju se sitne dlačice – lanugo – koje pomažu zadržavanju ovog zaštitnog sloja na koži.
Razvijaju se i osjetila. Beba počinje reagirati na zvukove iz okoline. Iako su zvukovi u maternici prigušeni, beba može čuti majčin glas, otkucaje srca, protok krvi kroz krvne žile te ritmične zvukove probave. Ovi zvukovi stvaraju poznato i sigurno okruženje u kojem se dijete razvija.
Duljina bebe od vrha glave do pete iznosi oko 25 cm, a težina je približno 300 grama. Tijelo postaje sve proporcionalnije, iako je glava još uvijek relativno veća u odnosu na ostatak tijela.

Buduća majka
Oko 20. tjedna trudnoće mnoge trudnice počinju jasno osjećati pokrete svoje bebe. Ti pokreti često se opisuju kao lagano treperenje, mjehurići ili nježni udarci u trbuhu. U žena koje su već ranije bile trudne pokreti se ponekad mogu osjetiti nešto ranije, dok kod prvorotkinja oni mogu postati jasniji nekoliko tjedana kasnije. Kako trudnoća napreduje, pokreti bebe postajat će sve snažniji i pravilniji.
Kako maternica raste, promjene na tijelu trudnice postaju sve vidljivije. U 20. tjednu trudnoće mnoge žene primjećuju povećanje trbuha, bolove u donjem dijelu leđa, osjećaj istezanja u području trbuha, povremene grčeve u nogama, kao i promjene na koži poput tamnije linije na trbuhu (linea nigra).
Maternica sada doseže razinu pupka i može se jasno opipati kroz trbušnu stijenku.
Dvadeseti tjedan trudnoće donosi posebno uzbudljiv osjećaj – sve jasniju povezanost majke i djeteta kroz pokrete koje osjećate u svojem tijelu. To je početak jedinstvene komunikacije koja će se nastaviti razvijati do samog poroda.
Važan pregled u ovom razdoblju
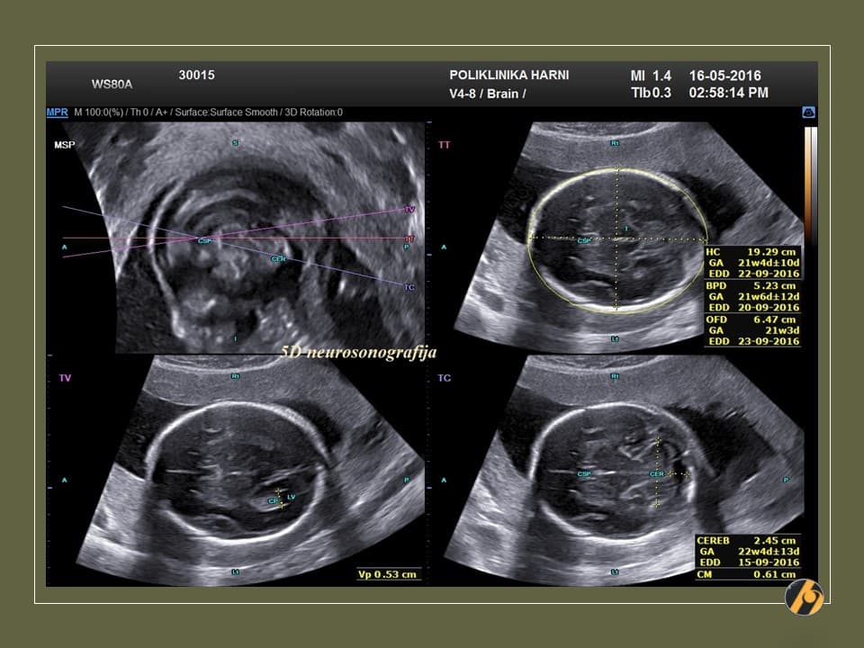
Oko 20. tjedna trudnoće obično se obavlja detaljan ultrazvučni pregled drugog tromjesečja, poznat kao morfološki ultrazvuk ili anomaly scan. Tijekom tog pregleda procjenjuju se razvoj i anatomija fetusa, razvoj mozga, srca i drugih organa, količina plodove vode te položaj i izgled posteljice.
Ovaj pregled omogućuje liječniku da procijeni razvija li se beba uredno te pruža važan uvid u tijek trudnoće, kao i da preporuči dodatne pretrage kao što su fetalna neurosonografija ili fetalna ehokardiografija.
Savjet
U drugom tromjesečju važno je nastaviti s brigom o zdravim životnim navikama.
Nastavite s redovitom umjerenom tjelesnom aktivnošću poput šetnje ili plivanja, uravnoteženom prehranom bogata željezom, kalcijem i proteinima. Prfipazite na dovoljno odmora i sna, te pravilno držanje tijela kako bi se smanjilo opterećenje kralježnice.
Redoviti ginekološki pregledi važan su dio praćenja trudnoće i omogućuju pravodobno otkrivanje eventualnih poteškoća.
Kada se javiti liječniku
Potrebno je javiti se liječniku ako se pojave:
- vaginalno krvarenje
- jaki bolovi u trbuhu
- iznenadna oteklina lica ili ruku
- povišena temperatura, kao i
- bilo koji simptom koji izaziva zabrinutost.
Ako primijetite promjene koje vam se čine neobičnima, uvijek je najbolje potražiti savjet ginekologa.
Poruka za kraj
Dvadeseti tjedan trudnoće označava sredinu ovog jedinstvenog putovanja. Vaša beba sada je sve aktivnija, a pokreti koje osjećate postaju jedan od najljepših podsjetnika da u vama raste novi život.
U mjesecima koji slijede ti će pokreti postajati sve snažniji, a osjećaj povezanosti s vašim djetetom sve dublji.





